Figure 4
From: ASB2 is a novel E3 ligase of SMAD9 required for cardiogenesis

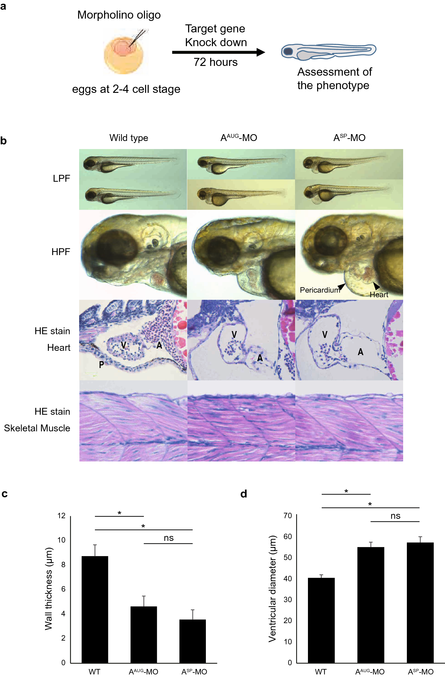
Knockdown of Asb2 attenuates normal cardiac development. The representative phenotype of zebrafish injected with MO targeting Asb2. (a) Scheme of the zebrafish experiment. Morpholino oligo designed for targeted gene knock down was injected to the eggs of zebrafish at 2–4 cell stage. At 72 hpf (hours post fertilization), phenotype was assessed. (b–d) MO targeting either the start codon (AAUG-MO) or the splice donor and acceptor site of exon 7 (ASP-MO) of Asb2 was injected into zebrafish embryos. At 72 hpf, both AAUG-MO and ASP-MO injection produced a phenotype of cardiac swelling (b). In histological analysis, thinner ventricle walls (c) and dilated ventricles (d) were observed in the AAUG- and ASP-MO injected groups compared to wild type siblings. In each group 5 to 7 animals were analysed. Note that no obvious change in phenotype was observed except in the heart. The data are shown as the mean ± SD. Statistical analysis was performed using one-way ANOVA with Tukey’s multiple comparison tests. *p < 0.05; ns, not significant; LPF, low power field; HPF, high power field; HE, Hematoxylin eosin; V, ventricle; A, atrium; P, pericardium.