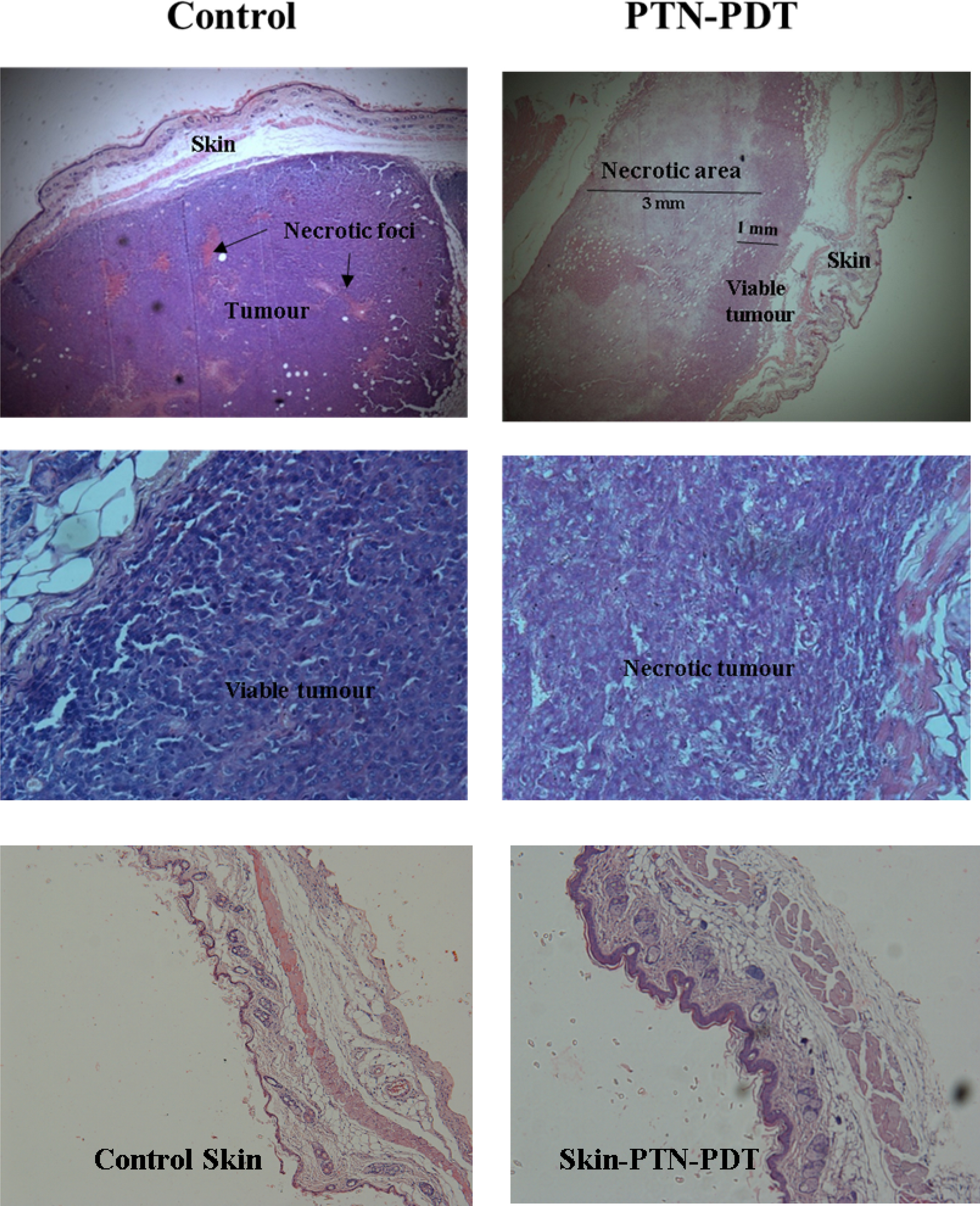
Figure 8
From: Photosensitization of a subcutaneous tumour by the natural anthraquinone parietin and blue light

Hematoxylin and eosin-stained images of skin and adjacent tumours and normal skins treated with topical PTN-PDT. PTN-PDT treated tumours were excised 24 h after the second PDT dose (day 4 of the experiment). Controls of tumours treated with vehicle were included. Sections were photographed using the × 4 (upper panel) and × 40 (middle panel) objectives. Lower panel represents normal skins excised 24 h after the second PDT dose and non-treated controls (× 10).