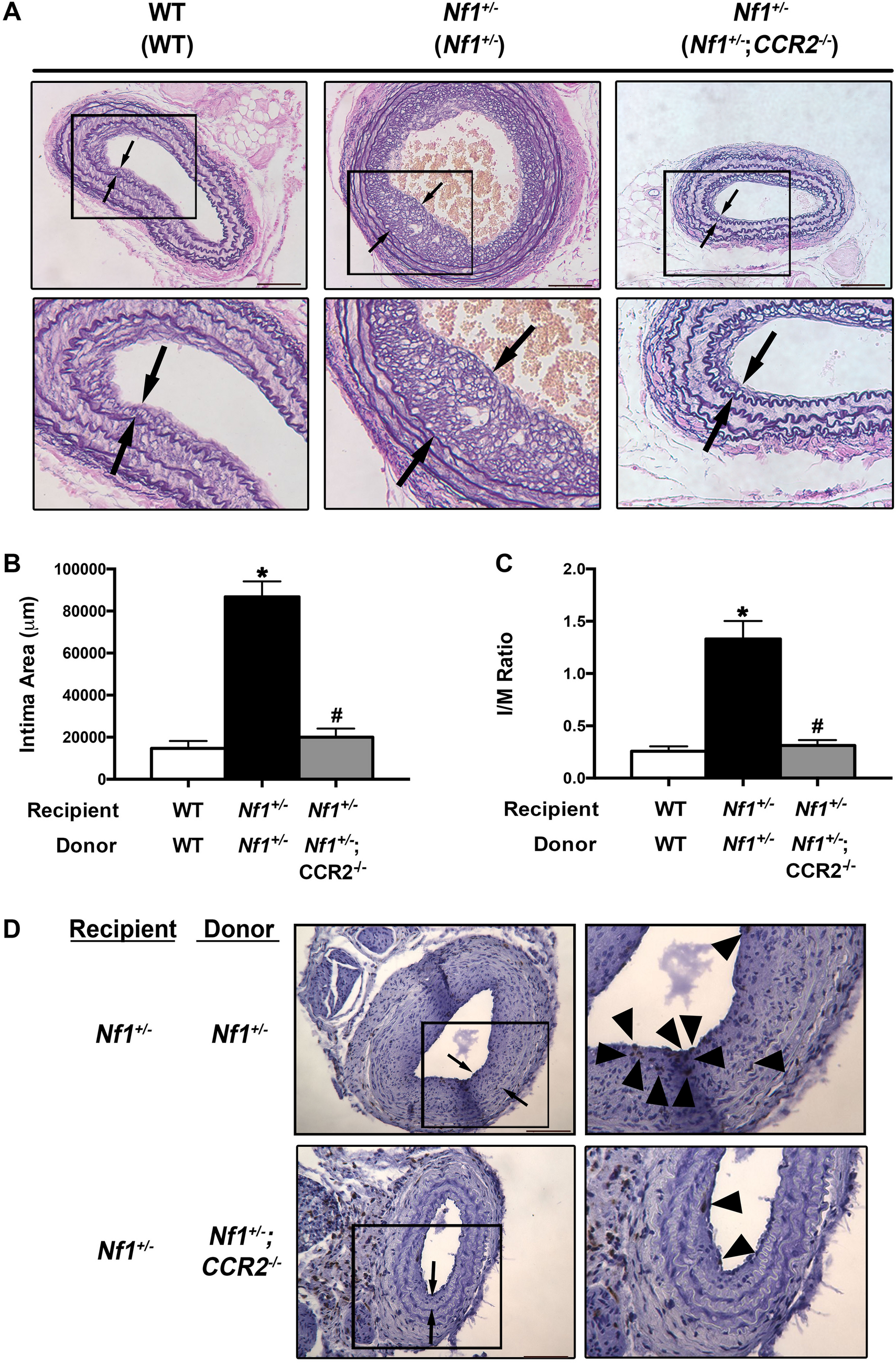
Figure 6

Monocytes/Macrophages drive neointima formation via CCR2. (A) Van Gieson-stained images of injured carotid arteries from WT reconstituted with WT bone marrow and Nf1+/– mice reconstituted with either Nf1+/– or Nf1+/– ;CCR2−/− bone marrow. Black arrows indicate neointima boundary. Black boxes identify area of injured artery that is magnified below. Scale bars: 100 μm. (B and C) Data represent mean intima area (μm2) (B) and I/M ratio (C) ± SEM, n = 9–10 per group. *P < 0.05 for WT mice reconstituted with WT bone marrow versus Nf1+/– mice reconstituted with Nf1+/– bone marrow. #P < 0.05 for Nf1+/– mice reconstituted with Nf1+/– bone marrow versus Nf1+/– mice reconstituted with Nf1+/– ;CCR2−/− bone marrow. Analysis by 1-way ANOVA. (D). Representative images of Mac-3 staining in injured carotid arteries from Nf1+/– mice reconstituted with either Nf1+/– or Nf1+/– ;CCR2−/− bone marrow. Black arrows indicate neointima boundary. Black boxes identify area of injured artery that is magnified to the right. Scale bars: 100 μm.