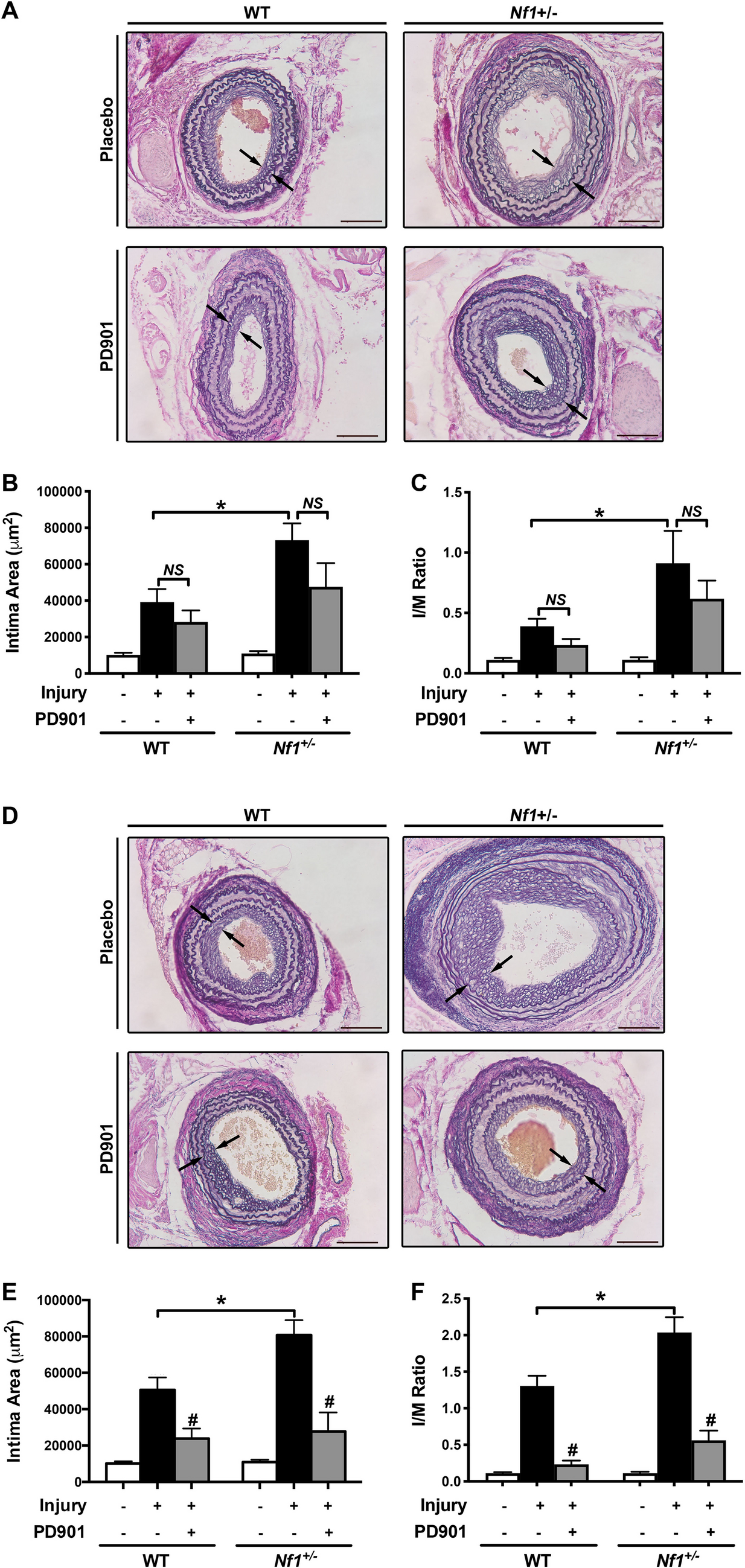
Figure 7

Mature, but not early neointima formation is sensitive to MEK inhibition (A–F) Representative photomicrographs (A and D) and quantification of intima area (B and E) and I/M ratio (C and F) of injured carotid arteries from WT and Nf1+/– mice treated with either placebo or PD901 for 7 days (A–C) or 14 days (D–F) Data represent the mean intima area (B and E) or I/M ratio (C and F) of 3 arterial cross Sects. (400, 800, and 1200 μm proximal to the ligation) ± SEM, n = 8–10 per group. *P < 0.05 for WT injured with placebo treatment versus Nf1+/– injured with placebo treatment. #P < 0.01 for injured with placebo treatment versus WT and Nf1+/– injured with 5 mg/kg/day PD901 treatment. Analysis by 2-way ANOVA.