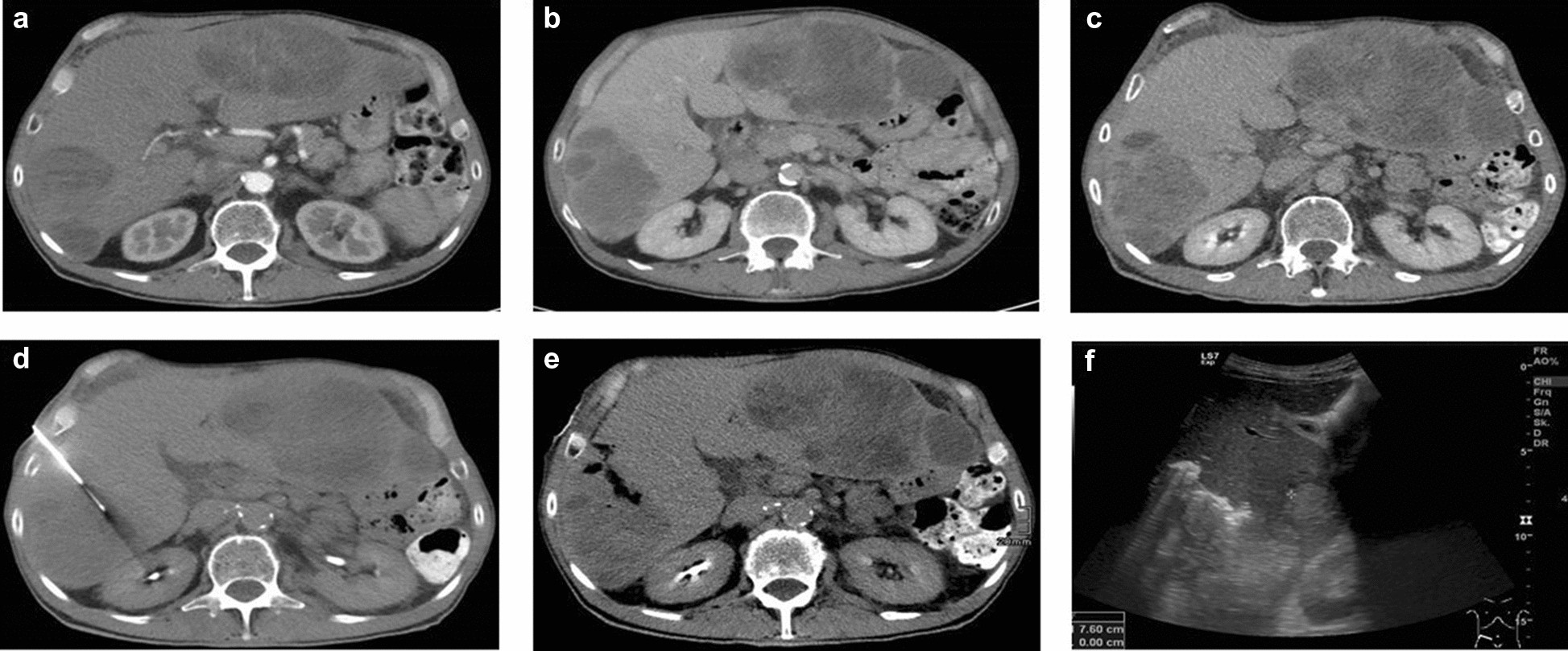
Figure 2

CT-guided liver biopsy and post-interventional sonography. (a) Axial slice of the pre-interventional CT. Target lesion in segment 5/6. Arterial phase. (b,c) Correlating axial slices of the lesion in late portal and delayed phase. Adequate biopsy tract length. (d) Biopsy performed with a 16-G core needle coaxial system and an 18-G cutting needle. Intralesional location. (e) Post-interventional non-enhanced CT. Percutaneous tract embolization by gelatin sponge slurry. (f) Post-interventional ultrasound. Adequate distribution of hyperechoic gelatin foam slurry. No ascites. No haematoma.