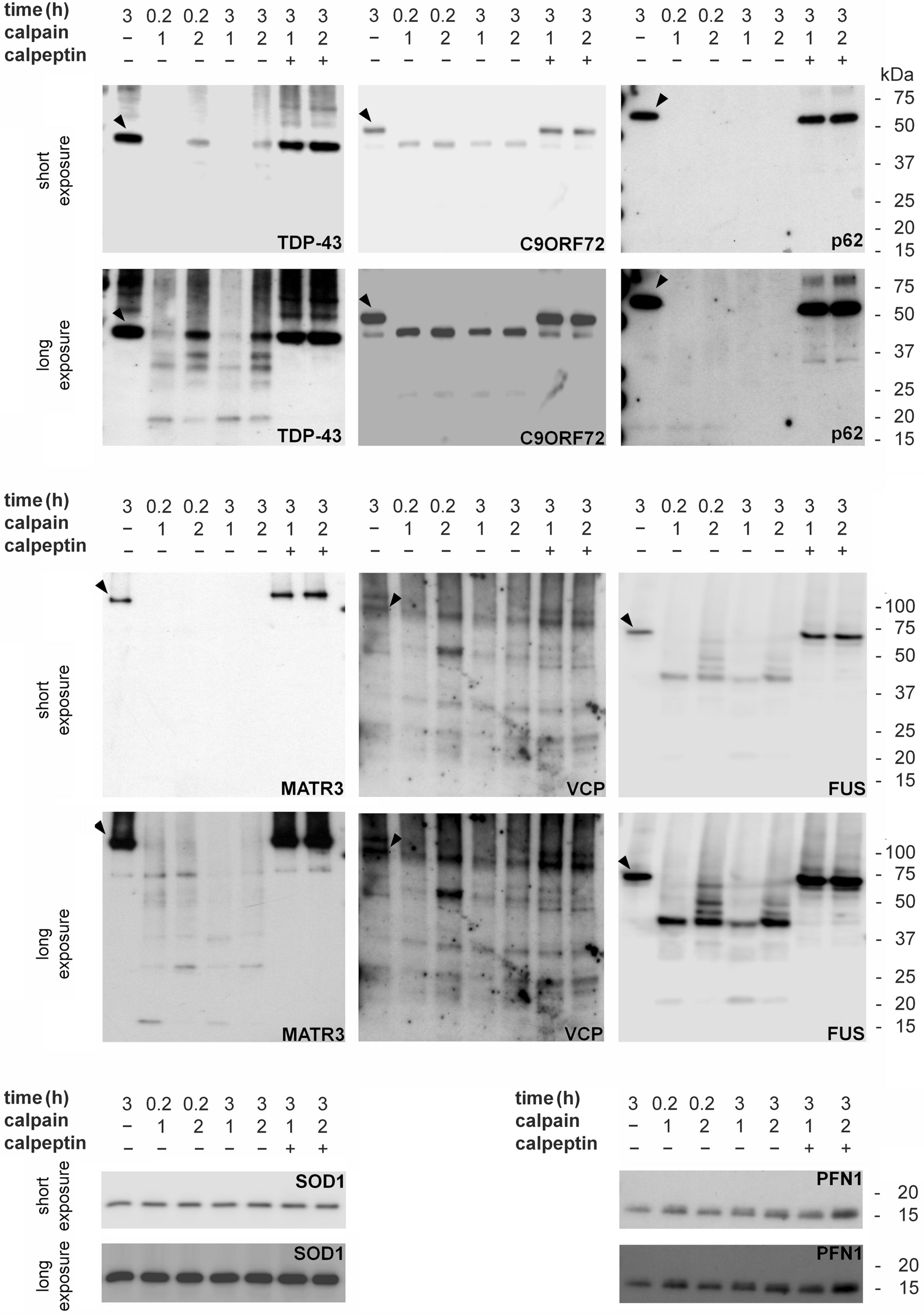
Figure 1

Calpain cleavage of proteins coded by genes linked to ALS. Western immunoblot analysis of TDP-43, C9orf72 (C9ORF72) p62/sequestosome-1 (p62), matrin-3 (MATR3), VCP, FUS, SOD1 and profilin-1 (PFN1) evaluated, as endogenous protein, in SK-N-BE(2) cell lysate incubated with 2 U of recombinant active human calpains-1 or -2, at 37 °C for 10 or 180 min. Incubation of the cell lysate in presence of 20 mM calpeptin, a calpain inhibitor, was also performed. Blots are representative of three independent experiments. The arrowhead indicates the immunoreactive band corresponding to the full-length protein.