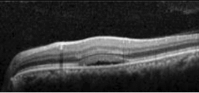
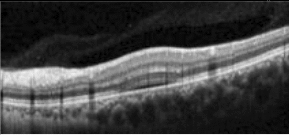
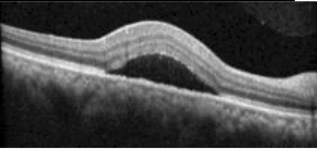
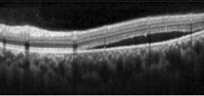
Table 2 Case comparison between the proposed model and human experts.
Model | Non-resolving | Non-resolving | Non-resolving | Acute | Chronic | Acute |
R1a | Acute | Acute | Non-resolving | Non-resolving | Acute | Non-resolving |
R2a | Acute | Acute | Non-resolving | Acute | Non-resolving | Non-resolving |
R3a | Acute | Non-resolving | Acute | Acute | Non-resolving | Acute |
F1b | Acute | Acute | Acute | Acute | Acute | Acute |
F2b | Acute | Acute | Acute | Acute | Acute | Acute |
F3b | Acute | Acute | Acute | Acute | Acute | Acute |
RS1c | Acute | Acute | Acute | Non-resolving | Non-resolving | Non-resolving |
RS2c | Acute | Acute | Acute | Non-resolving | Non-resolving | Non-resolving |
GTd | Acute | Acute | Acute | Non-resolving | Non-resolving | Non-resolving |





