Figure 2
From: eNAMPT neutralization reduces preclinical ARDS severity via rectified NFkB and Akt/mTORC2 signaling

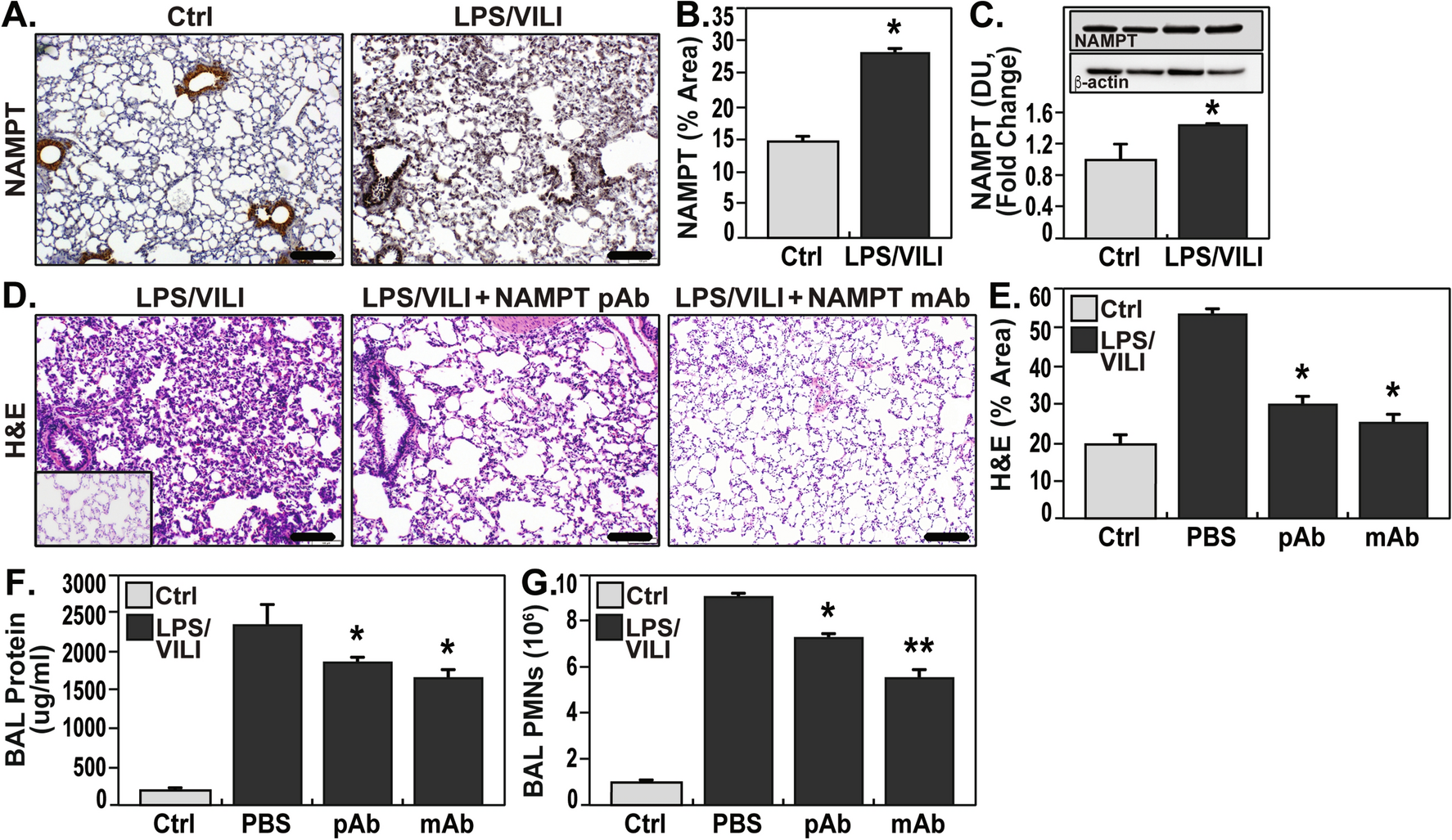
eNAMPT-neutralizing strategies attenuate rat lung injury in preclinical “two-hit” LPS/VILI model. (A) Increased lung tissue NAMPT staining (as in Fig. 1) in LPS/VILI -exposed rats compared to controls (LPS- 0.1 mg/kg, 18 h; VILI- 4 h tidal volume 20 mL/kg). (B) Image J IHC quantification of increased NAMPT expression with LPS/VILI exposure. *p < 0.01. (C) Western blot analysis shows significantly higher NAMPT expression in rat lung homogenates confirmed by densitometric analysis. *p < 0.05. (D, E) H&E lung tissue staining shows significant inflammatory injury with parenchymal neutrophil infiltration and both interstitial and alveolar edema which was significantly reduced by the eNAMPT-neutralizing pAb (4 mg/kg, at time 0 with LPS) and by the eNAMPT mAb (0.4 mg/kg, at time 0 with LPS) reflected by Image J Software. *p < 0.05 LPS-pAb/mAb versus LPS/VILI-PBS. (F, G) Infusion of either eNAMPT-neutralizing biologic intervention (pAb or mAb) in the “two-hit” ARDS/VILI rat model significantly reduced the marked increases in BAL protein content (F) and BAL PMN counts (G) (*p < 0.05 LPS-pAb/mAb vs. LPS/VILI-PBS; **p < 0.05 mAb vs. pAb).