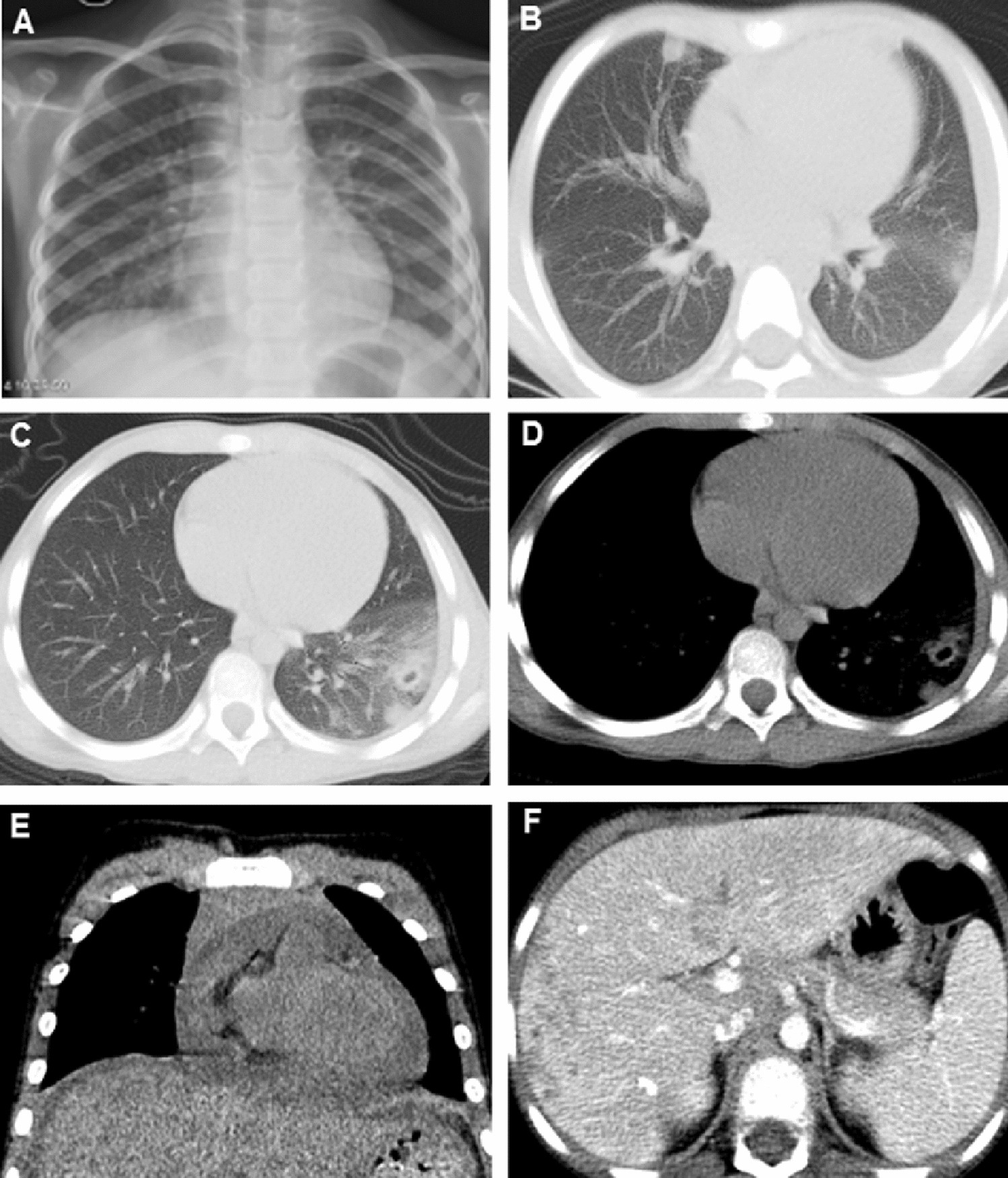
Figure 1

A 7-year-old girl presented with abdominal pain and subcutaneous nodules. (A) Chest X-ray showed pulmonary exudation in the right lower lung lobe; (B–E) Chest CT showed the alveolar opacification and ill-defined nodules in bilateral lungs, pleural effusion in both thoracic cavities; (F) Abdominal CT showed the multiple lesions with low density or calcifications in the liver.