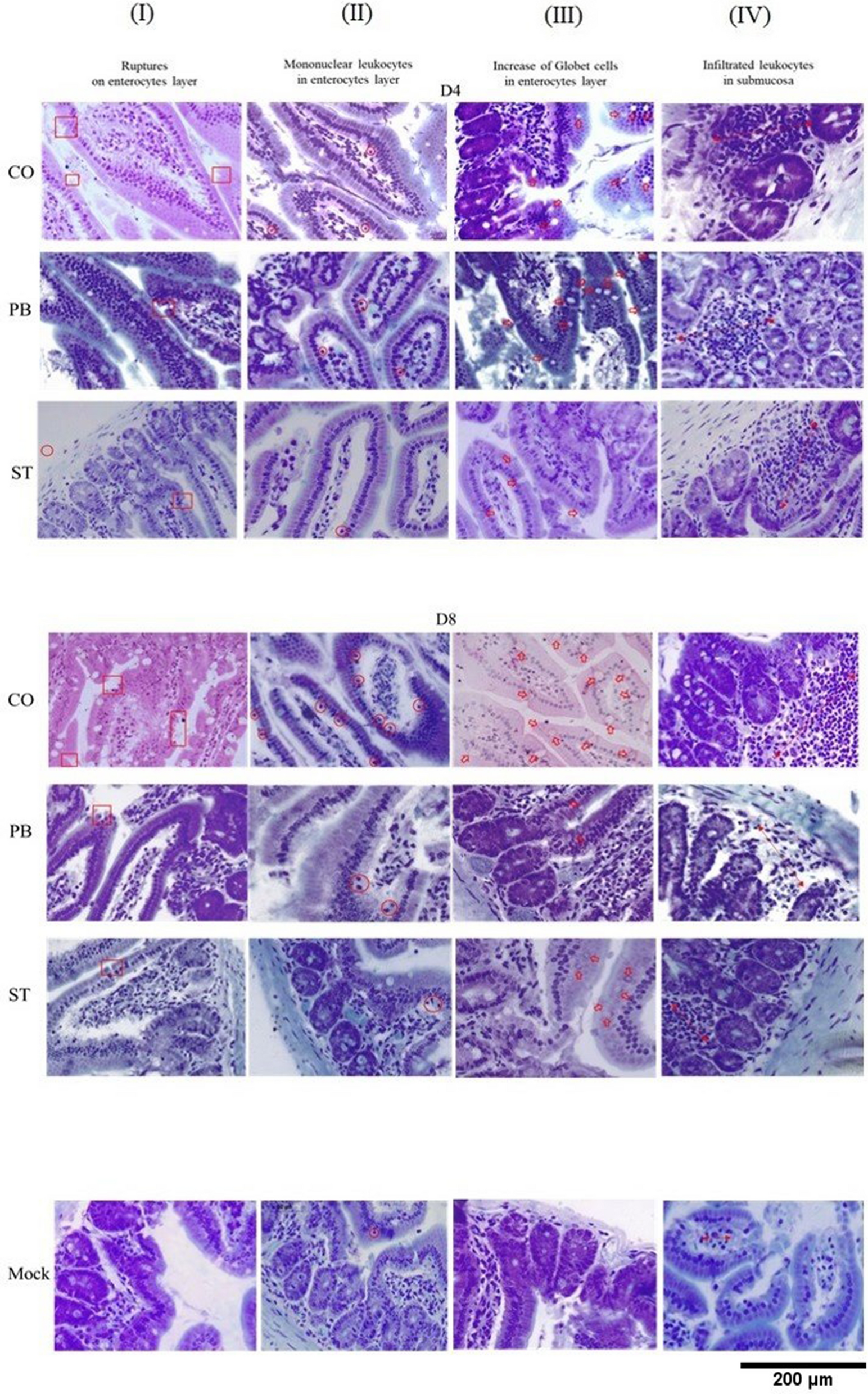
Figure 5

Irregularities in the small intestines of BALB/c mice caused by coinfection by Plasmodium berghei ANKA and Salmonella enterica serovar Typhi. Four types of changes were evidenced in photomicrographs and highlighted in columns I to IV. (I) appearance of ruptures in the enterocyte layer, (II) presence of mononuclear leukocytes in the enterocyte layer, (III) increase of goblet cells in the enterocyte layer and (IV) volume of leukocyte infiltrate in the sub-mucosa. Group CO (coinfection): mice infected with 1 × 106 erythrocytes infected with P. berghei ANKA inoculated intraperitoneally on D0, and on D1 the animals were challenged with 1 × 103 CFU of Salmonella enterica sp. Typhi by gavage. Group PB: monoinfected mice with 1 × 106 erythrocytes infected with P. berghei ANKA intraperitoneally on D0. Group ST: monoinfected mice with 1 × 103 CFU of Salmonella enterica sp. Typhi inoculated via gavage on D1. Photomicrographs of groups CO, PB and ST distributed in columns I to IV between D4 and D8. Last sequence of photomicrographs with images of control animals. Column I: presentation of ruptures at the border of the villus (red square); column II: infiltrate of mononuclear leukocytes in the enterocyte layer (red circle); column III: highlight of goblet cells (red broad arrows); column IV: dimension of the volume of leukocyte infiltrate in the mucosa region (red arrow at both ends). Bar 200 μm.