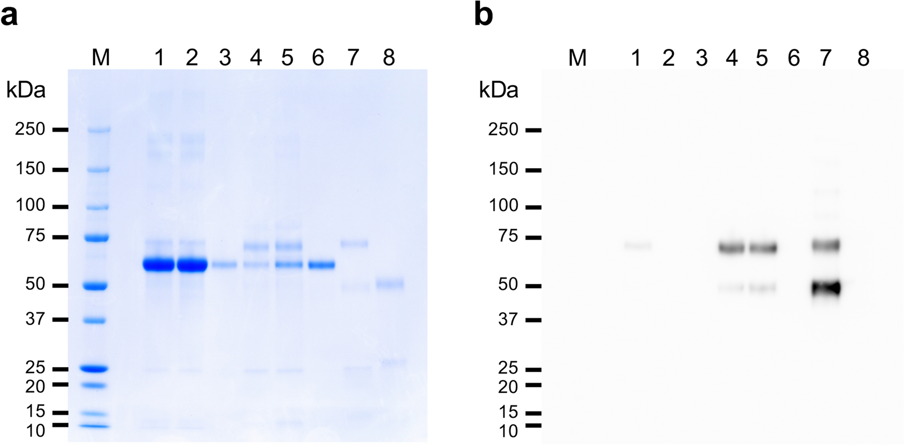
Figure 2

SDS-PAGE analysis of PA5 monoclonal IgM after PZP purification. Culture supernatants of hybridoma PA5 clone were purified using PZPs, and the following fractions were analyzed by SDS-PAGE with CBB staining (a) or anti-mouse IgM immunoblotting (b) as described in the “Methods”. Lane 1, hybridoma culture supernatant; 2, non-adsorbed fraction; 3, wash fraction; 4, 100 mM PB-eluted fraction; 5, 200 mM PB-eluted fraction; 6, standard BSA; 7, standard mouse IgM; 8, standard bovine IgG; M, molecular weight marker. The protein band neighboring the 50-kDa marker in lanes 4, 5, and 7 is a degradation product of the immunoglobulin μ-chain.