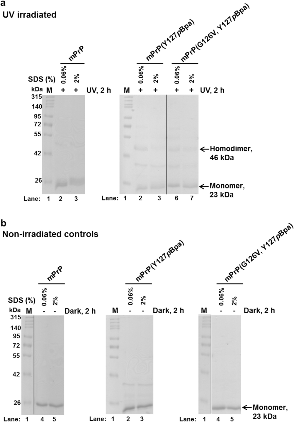
Figure 5
From: The G127V variant of the prion protein interferes with dimer formation in vitro but not in cellulo

Effect of G126V mutation on mPrP homodimer formation. Representative SDS-PAGE gel pictures of crosslinked (“UV irradiated”, + UV) (a) and corresponding non-irradiated control (“non-irradiated controls”, Dark) (b) samples of single proteins. Untagged mPrPs with pBpa mutation at position 127 were utilized to crosslink the homodimers formed in the absence or presence of a G126V mutation. The expected positions of monomers and homodimers are indicated. Lanes 1 (“M”) contain the same molecular weight marker. The vertical black lines on some of the gels delineate the position of cropping, where lanes unrelated to the figure were removed from the gel picture for an easier understanding. The images of the full-length gels are provided in Supplementary Fig. S2). Proteins (6 μM) are UV irradiated or incubated at dark, side-by-side in the presence of either 0.06% or 2% SDS (in PBS, pH 7.4), conditions that favor either dimerization or the monomeric form of the prion protein, respectively.