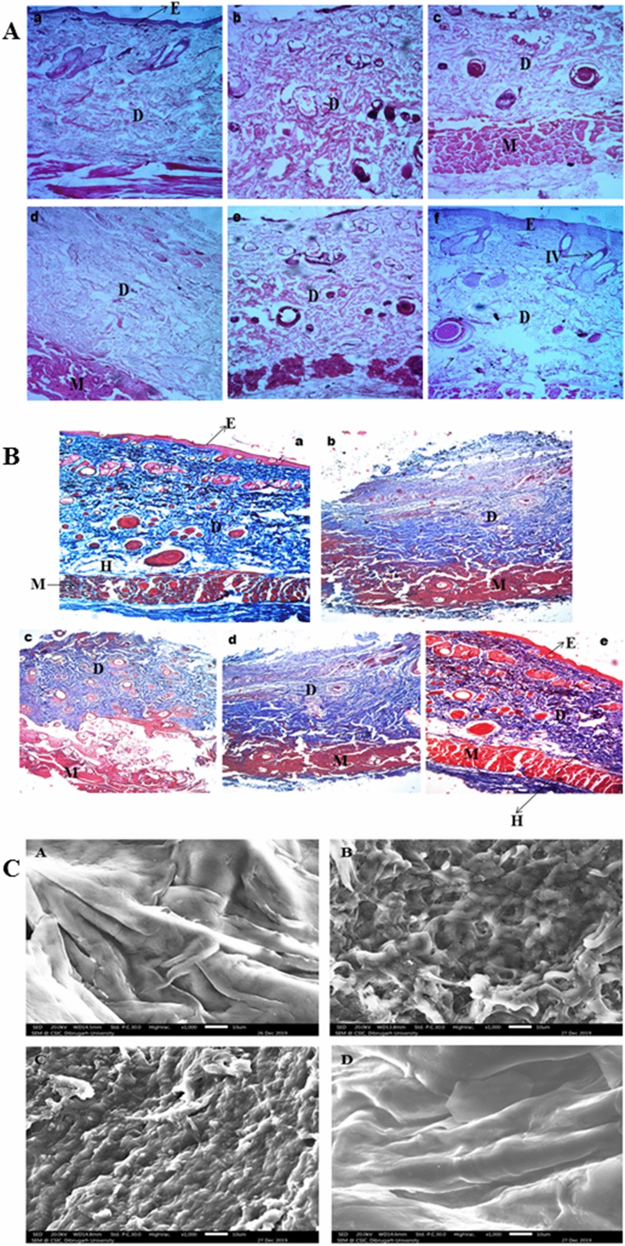
Figure 2

(A) Histopathology of different treated groups; (a) normal skin of rat, (b) untreated burned skin, (c) Rat skin of standard group on 8th day and (d) on 16th day, (e) BOF treated skin on 8th day and (f) on 16th day by using HE stain. (B) Histopathology of different treated groups; a) normal skin of rat, (b) untreated burned skin, (c) Rat skin of standard group on 16th day, (d) BOF treated skin on 8th day and (e) on 16th day by using MT stain. (C) Scanning electron microscopy of skin tissue of Wistar rats; (A) normal skin of rat, (B) untreated burned skin, (C) standard group, (D) BOF treated.