Figure 4
From: Mastoid effusion on temporal bone MRI in patients with Bell’s palsy and Ramsay Hunt syndrome

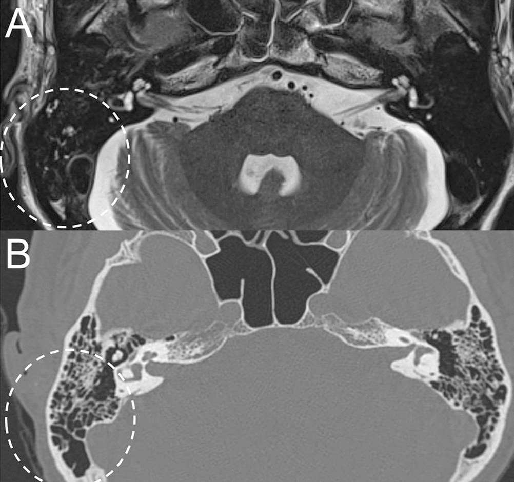
Comparison between temporal bone MRI and TBCT in a representative case of Ramsay Hunt syndrome with mastoid effusion on the right side. Non-contrast axial T2-weighted image at the level of IAC and mastoid air cells shows high signal intensity from the fluid in the right mastoid suggesting mastoid effusion (dotted circle, A), which was not easily identifiable in TBCT (dotted circle, B).