Figure 1

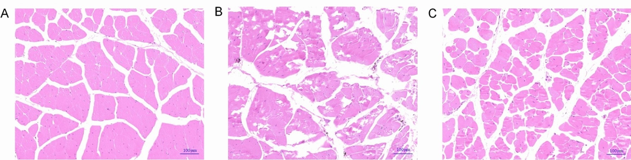
Histopathological observation of Chinese soft-shelled turtles infected with furunculosis pathogens. A was normal control group (NC), B was infection group (Lb18), C was infection treated with NAC group (Lb18 + NAC).

Histopathological observation of Chinese soft-shelled turtles infected with furunculosis pathogens. A was normal control group (NC), B was infection group (Lb18), C was infection treated with NAC group (Lb18 + NAC).