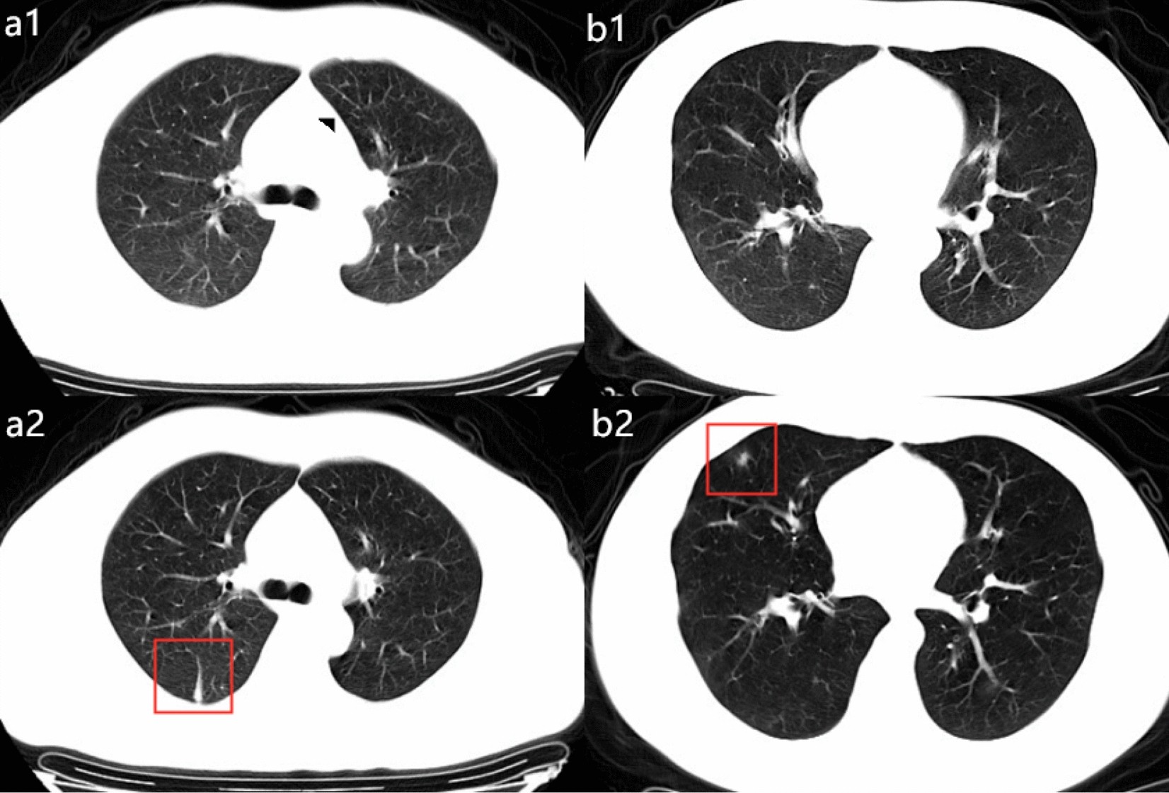
Figure 3

Examples of patients with admitting diagnosis as non-pneumonia in Group 2. (a1–a2) a 45-year-old man with confirmed with non-pneumonia COVID-19 and had hospitalization days of 16. Patients had fever at onset of disease, but normal CT images at the beginning of the admission (a1), at 4th day on admission, the follow-up CT images demonstrated inflammatory appearance as linear shadowing (a2). (b1–b2) a 31-year-old man diagnosed as non-pneumonia with COVID-19 who had cough at onset but normal CT images (b1). Total hospitalization time was 18 days. After 4 days admission, an irregular consolidate nodule can be seen in the right middle lobe from the follow-up CT images (b2).