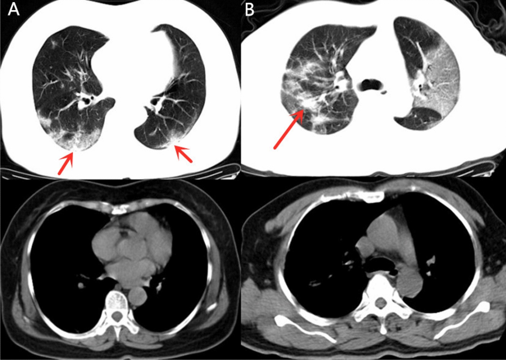
Figure 4

Example of patients with CT demonstrated as GGO > consolidation in Group 1. (A) 65-year-old female with confirmed COVID-19 pneumonia in Group 1 who had hospitalization time of 12 days. CT images demonstrated multiple mixed GGO and consolidation lesions with bilateral distribution, the consolidation component (arrow) was apparently less than GGO. (B) 53-year-old man in Group 1 with 12 admission days. Multiple mixed GGO and consolidation lesions with bilateral distribution were seen in his CT images, at the same time. The range of GGO components was apparently more than consolidation (arrow).