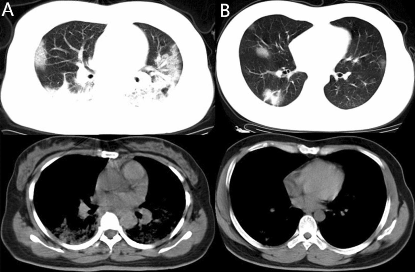
Figure 5

Example of patients with CT demonstrated as consolidation > GGO component in Group 2. (A) 29-year-old female confirmed with COVID-19 pneumonia in Group 2 who had hospitalization days of 19 days. CT images demonstrated multiple lesions with mixed density which were predominantly solid components (arrows). (B) 28-year-old male in Group 2 with hospitalization days of 19 days. CT images also demonstrated multiple mixed density lesions with predominantly solid components (arrows).