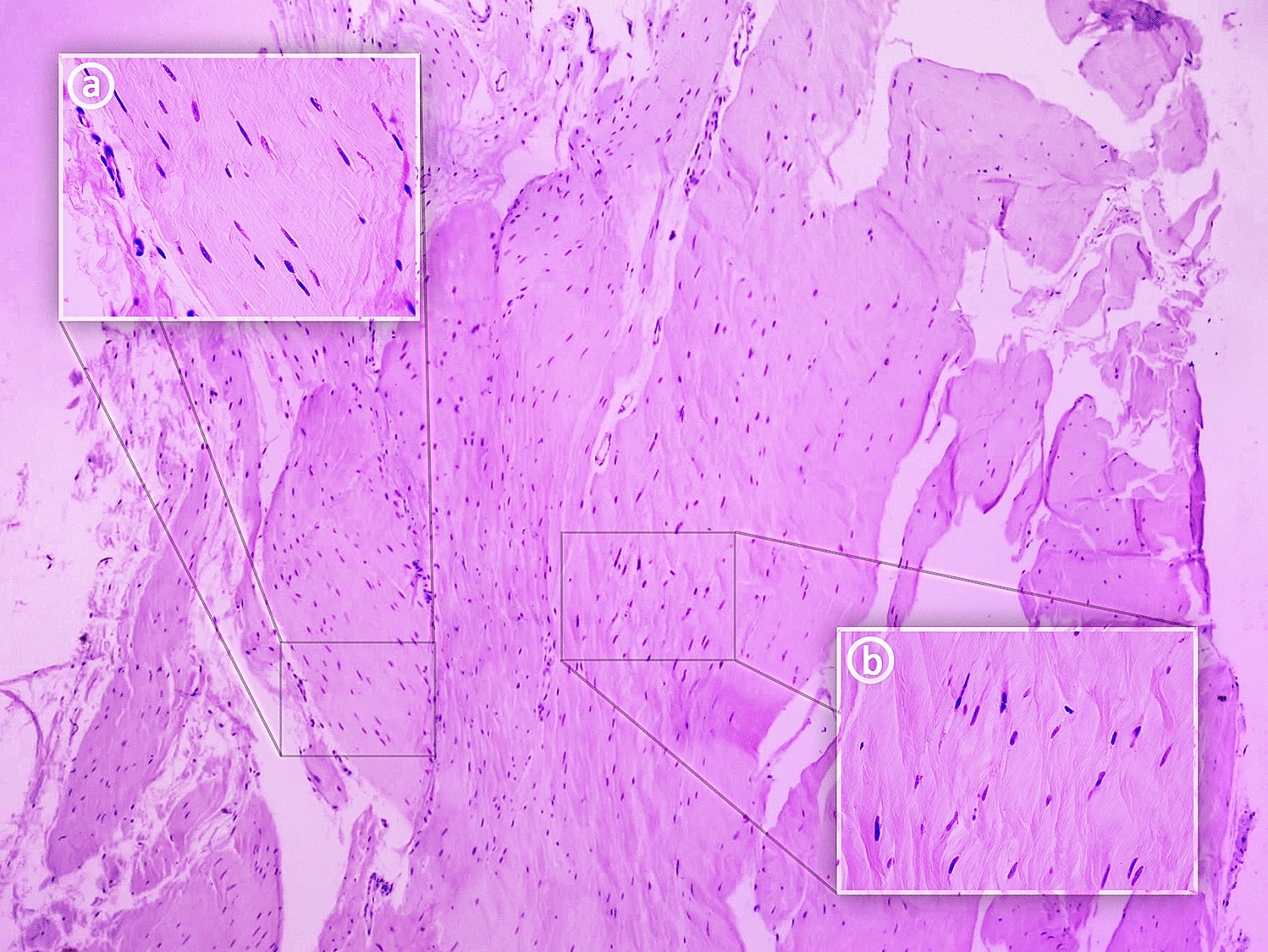
Figure 3

Histological examination of the plantaris ligamentous tendon. (a) 400 × magnification—tendon; (b) 400 × magnification—ligament.

Histological examination of the plantaris ligamentous tendon. (a) 400 × magnification—tendon; (b) 400 × magnification—ligament.