Figure 4
From: Identification of allergens for food-dependent exercise-induced anaphylaxis to shrimp

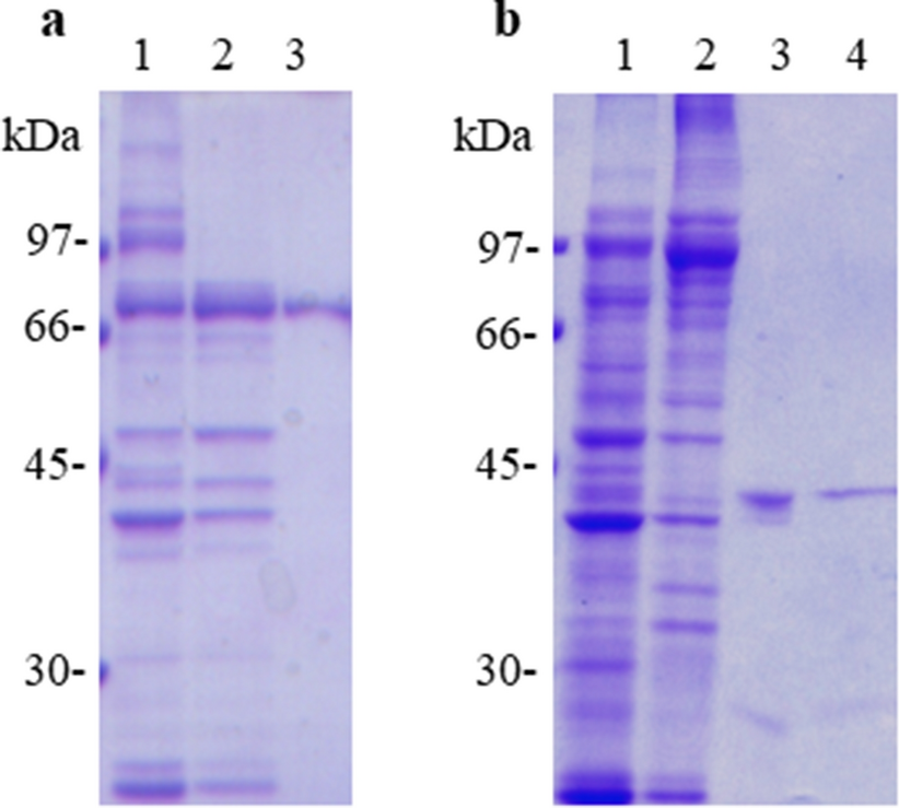
Purification of P75 homologue and FBPA proteins from L. vannamei. (a) CBB staining of a 70-kDa protein in the whole Tris-soluble fraction (lane 1), the 40–60% ammonium sulfate precipitate (lane 2), and reversed-phase HPLC fraction (lane 3). (b) CBB staining of a 43-kDa protein in the whole Tris-soluble fraction (lane 1), 20–40% ammonium sulfate precipitate (lane 2), anion-exchange chromatography fraction (lane 3), and hydrophobic interaction chromatography fraction (lane 4). Full-length gels are presented in Supplementary Figure S4.