Figure 4

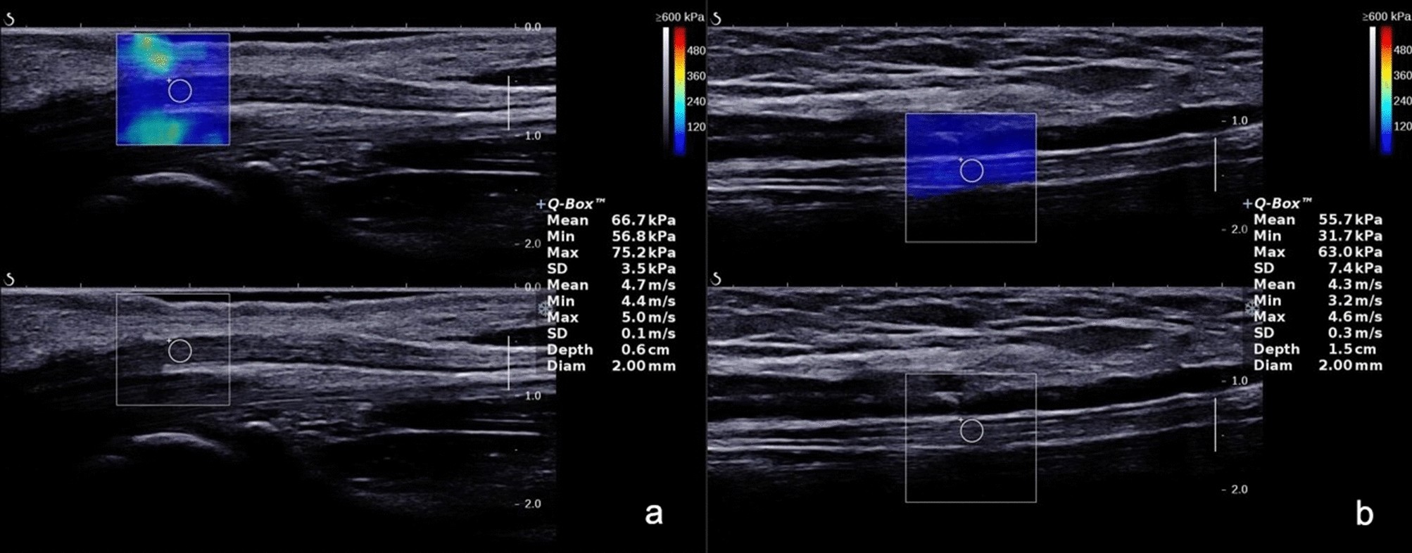
In the relaxed position, the shear wave velocity of the median nerve at the carpal tunnel (a) and the tibial nerve at the tarsal tunnel (b).

In the relaxed position, the shear wave velocity of the median nerve at the carpal tunnel (a) and the tibial nerve at the tarsal tunnel (b).