Figure 5

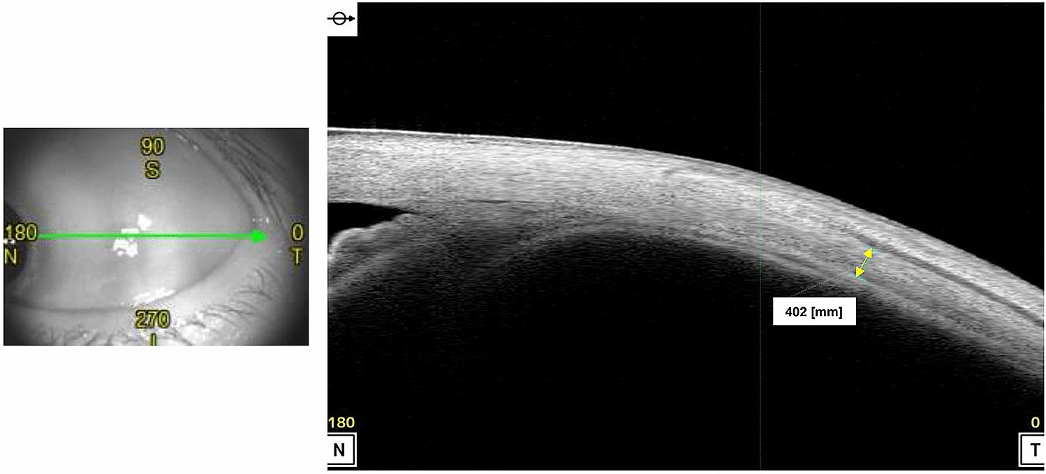
Method of obtaining image of temporal sclera and measuring scleral thickness using anterior segment optical coherence tomography.

Method of obtaining image of temporal sclera and measuring scleral thickness using anterior segment optical coherence tomography.