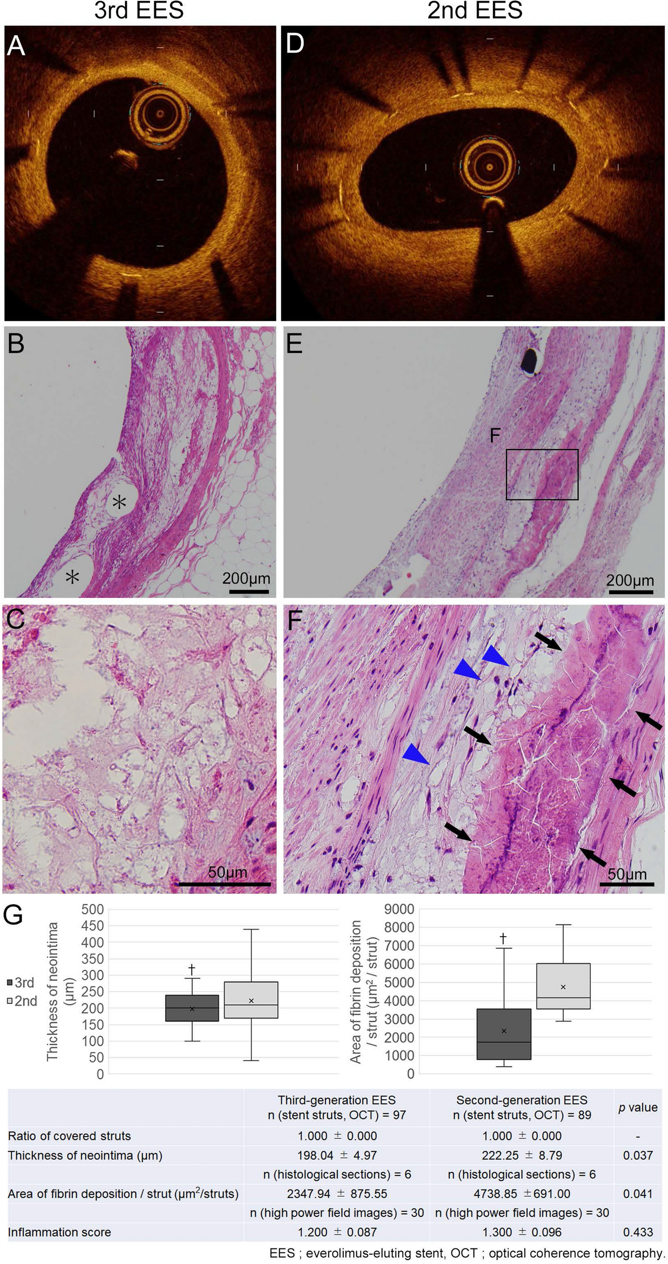
Figure 2

Optical coherence tomography images and pathology of the 4-week stent lipoprotein receptor knockout minipigs. Representative images from the 4-week group of coronary arteries of lipoprotein receptor knockout minipigs implanted with third-generation abluminal biodegradable-polymer everolimus-eluting stents (3rd EES, A–C) and second-generation durable-polymer everolimus-eluting stents (2nd EES, D–F). (A, D) On optical coherence tomography, all struts of both 3rd and 2nd EESs were shown to acquire adequate neointimal coverage. Histological sections of coronary arteries implanted with 3rd (B, C) and 2nd (E, F) EESs. Underlying atherosclerotic change with extracellular lipid accumulation (C), foam cell infiltration (arrowheads in F) and calcification (arrows in F) are apparent. The neointima of the 3rd EES showed tightly arranged smooth muscle cells close to the luminal surface (B) while the neointima over 2nd EESs consisted of poorly structured connective tissue (E). (G) There is significantly less neointimal thickening and fewer fibrin depositions with the 3rd EES than with the 2nd EES. †p < 0.05 (B *; stent strut. B, C, E, F; hematoxylin–eosin).