Figure 1
From: Transcriptome analysis of the effect of diosgenin on autoimmune thyroiditis in a rat model

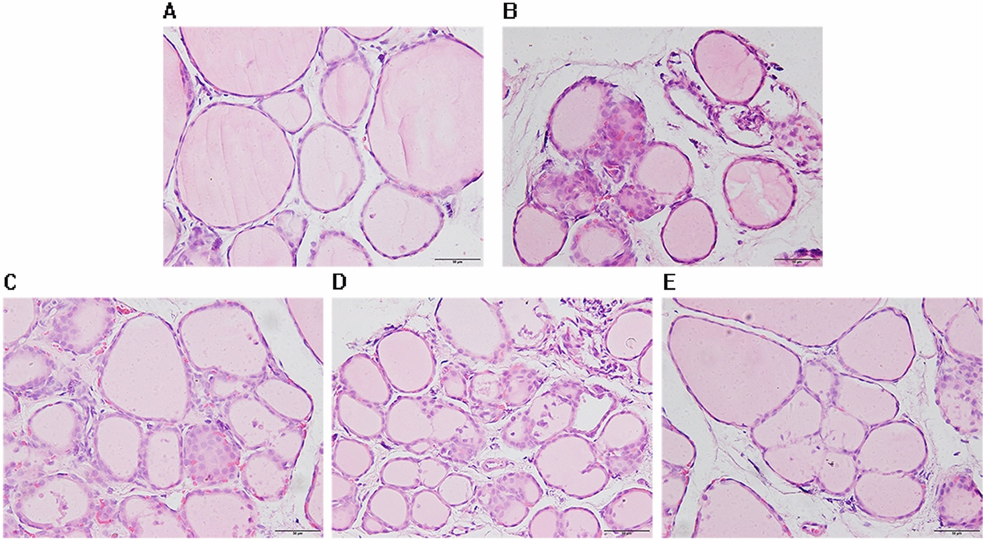
Light microscopic observation results of H&E staining of rat thyroid (× 200). (A) Normal group, (B) AIT-model group, (C) Diosgenin-L group, (D) Diosgenin-M group, (E): Diosgenin-H group.