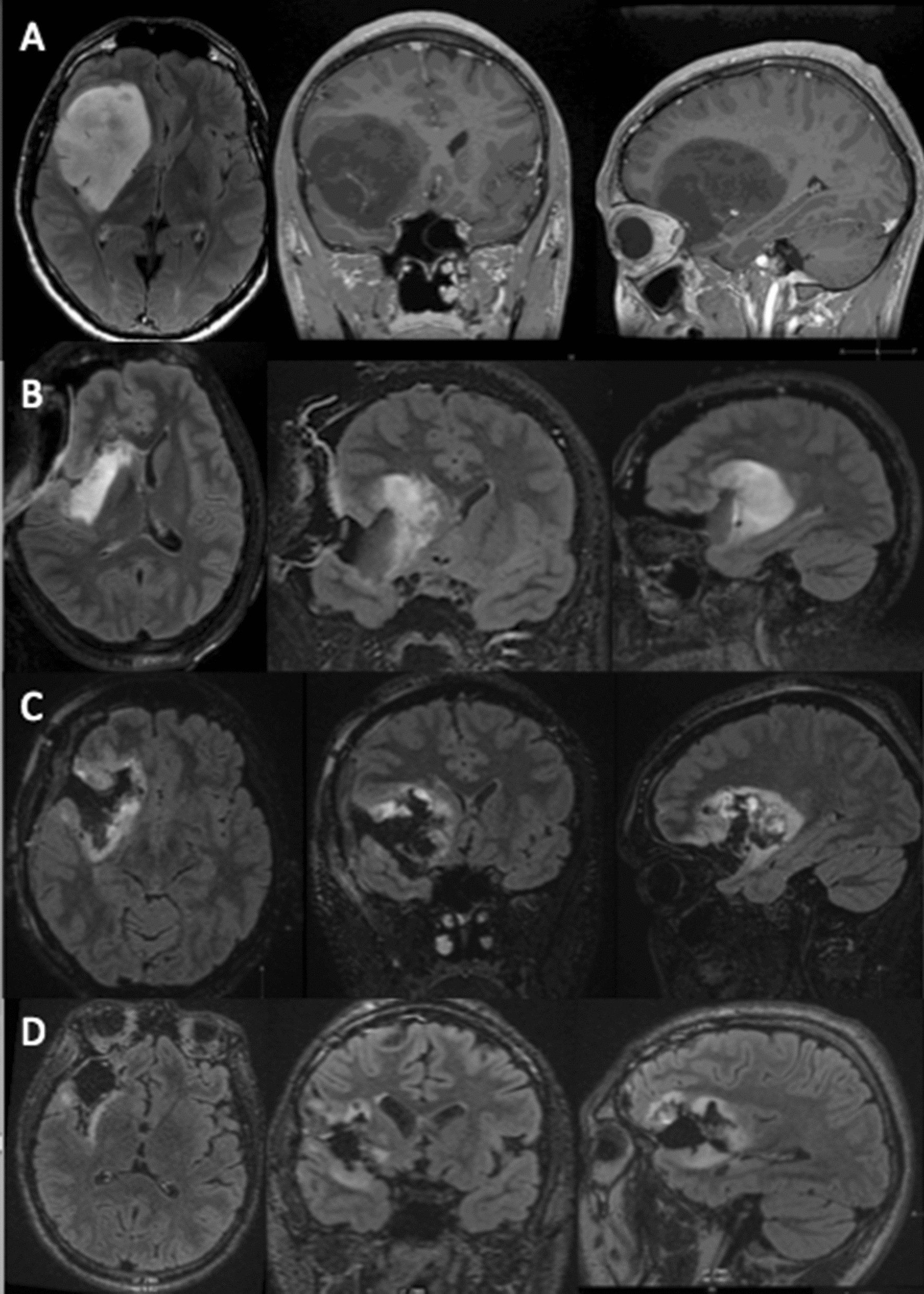
Figure 3

Staged surgical approach for a right fronto-temporo-insular glioma. (A) Preoperative MRI depicting a hypo signal T1 lesion, with sharp contours. The preoperative volume was of 112 cm3. (B) 1st IoMRI reporting a tumor remnant at the inner and posterior part of the insula and in the frontal lobe of 38 cm3. Additional resection was performed. (C) 2nd IoMRI, the tumor residue was of 11 cm3. Due to the presence of the internal capsule at the superior part of the lesion the end of surgery was decided. (D) Postoperative control at 3 months, with less perioperative signal abnormalities the residue was reassessed, with a volume of 6 cm3, corresponding to an EOR of 95% (using IntelliSpace Portal, Philips, module “tumor tracking.” version 9.0 (www.philips.fr).