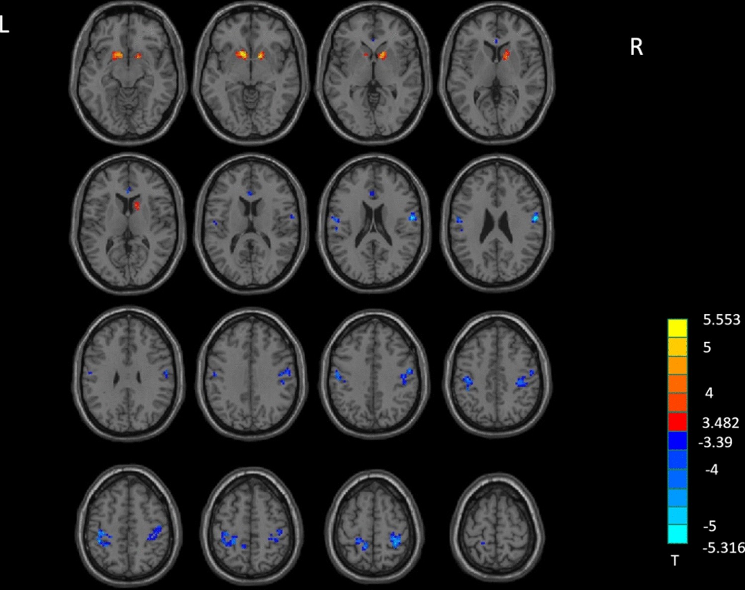
Figure 2

ReHo analysis. Two-sample t-test results are presented, voxel level p < 0.001, cluster level p < 0.05, two-tailed, voxel size > 29, corrected by GRF. Area in blue with significantly decreased ReHo value; area in yellow and red with significantly increased ReHo value. Created with DPABI_V4.3_200401 (http://rfmri.org/dpabi).