Figure 9

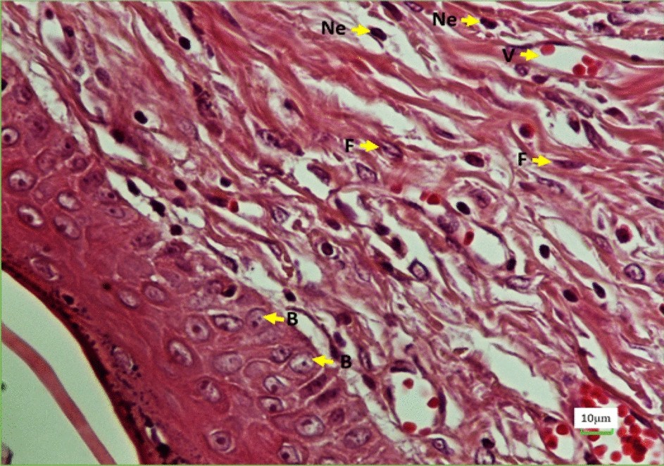
Photomicrograph of the wound healing area following injury stained with H&E (×40). Ne neutrophils, F fibroblasts, B basal cells, V vessel.

Photomicrograph of the wound healing area following injury stained with H&E (×40). Ne neutrophils, F fibroblasts, B basal cells, V vessel.