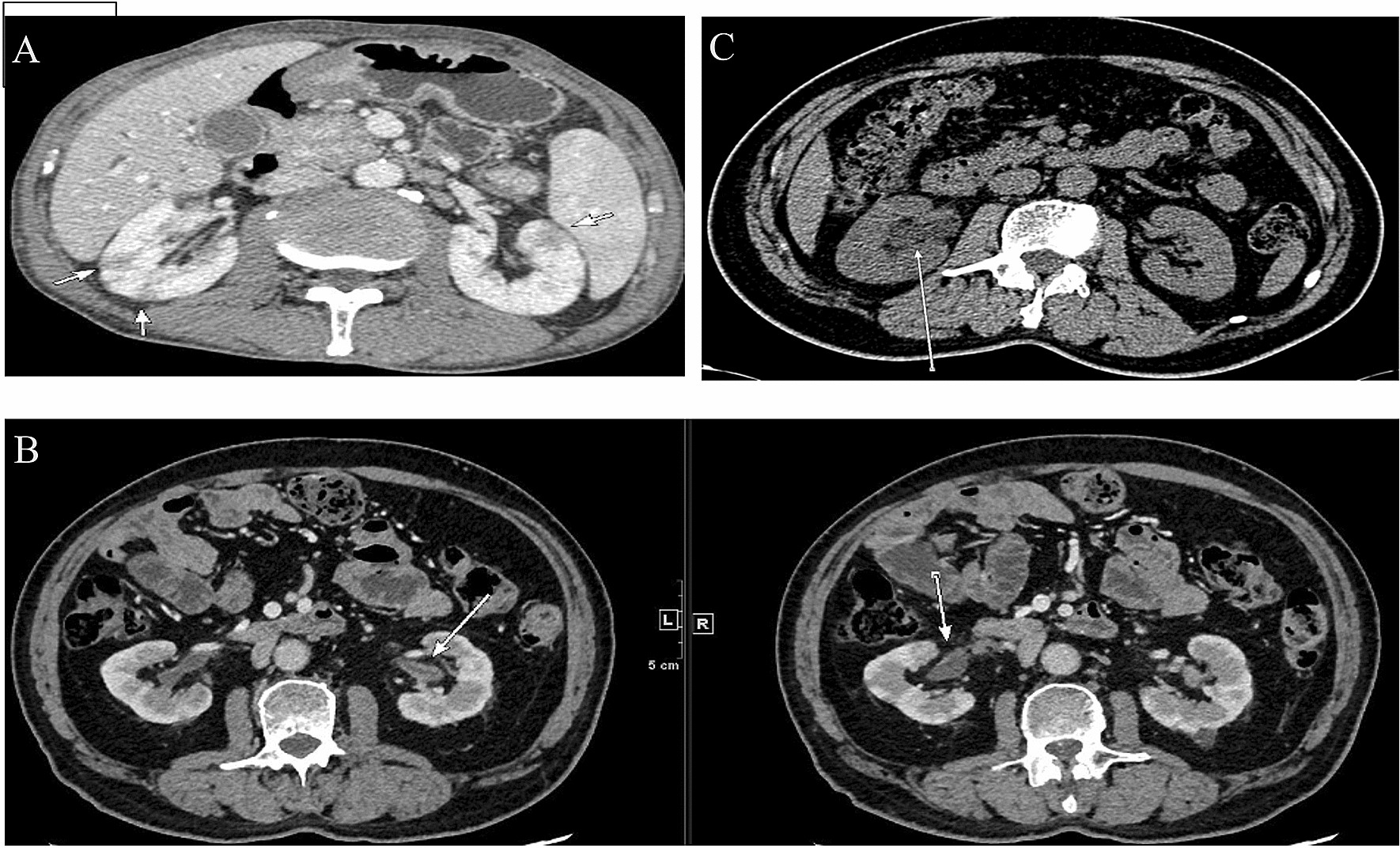
Figure 4

Representative contrast-enhanced CT imaging of IgG4-RKD+ . (A) Multiple low-density lesions in the bilateral kidneys (arrows). (B) ureteric obstruction and hydronephrosis related to RPF (arrow). (C) Renal pelvis thickening with smooth intraluminal surface (arrows).