Figure 1
From: Tissue sampling for biliary strictures using novel elbow biopsy forceps

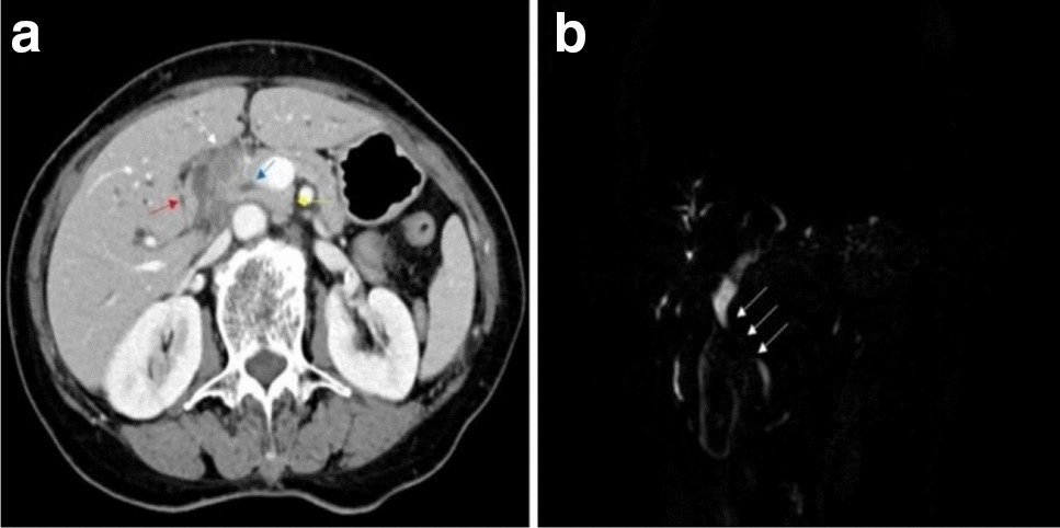
Computed tomography (a) and magnetic resonance imaging (b) showed stenosis at the common hepatic duct and the upper segment of the common bile duct (a The white arrow indicates the soft tissue shadow, the blue arrow indicates the common bile duct, the red arrow indicates the duodenum, and the yellow arrow indicates the head of the pancreas. b The white arrow indicates the stenosis.).