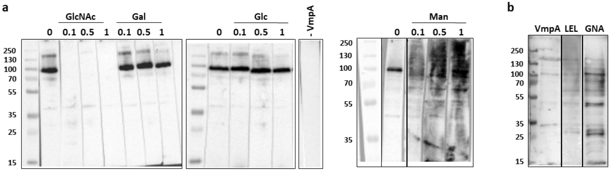
Figure 7

Interaction of VmpA-His6 with insect proteins. The results are presented from different blots (full length) framed by black lines. (a) Euva-6 proteins from culture passage 7 transferred to nitrocellulose membranes were incubated with recombinant VmpA-His6 alone (lane 0) or in the presence of 0.1 to 1 M Gal, Glc, GlcNAc or Man. The presence of VmpA-His6 interacting with insect cells was detected using anti-VmpA antibodies. (b) Euva-6 proteins from culture passage 32 transferred to nitrocellulose membranes were incubated with recombinant VmpA-His6 or the lectins LEL and GNA.