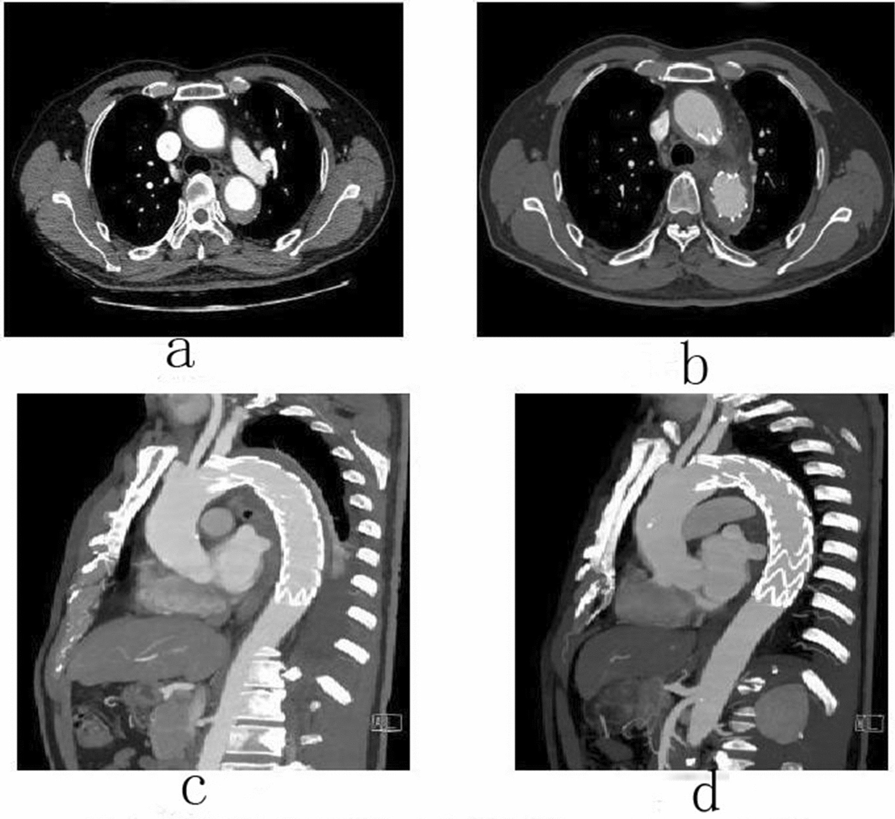
Figure 2

Male, 62 years old, admitted to hospital for “repetition of chest and back pain for 9 h”. Diagnosis: Standford A IMH TEVAR. CTA of the patient in different periods: (a) Admission; (b) 5 days after surgery; (c) 5 days after surgery; (d) 3 months after surgery.