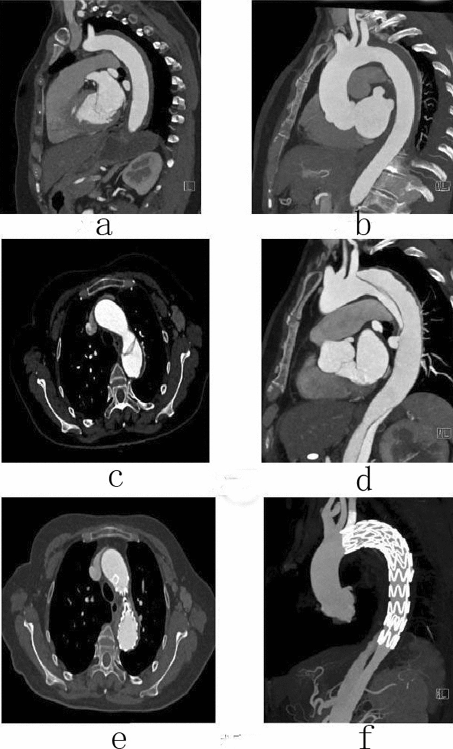
Figure 6

Female, 58 years old, admitted to hospital for “sudden pain in chest for 6 h”, Diagnosis: Stanford type B aortic dissection; Treatment: IMH TEVAR treatment. CTA of the patient in different periods: (a) Admission; (b) 5 days after admission; (c) 16 days after admission; (d) 16 days after admission; (e) 7 days after surgery; (f) 7 days after surgery.