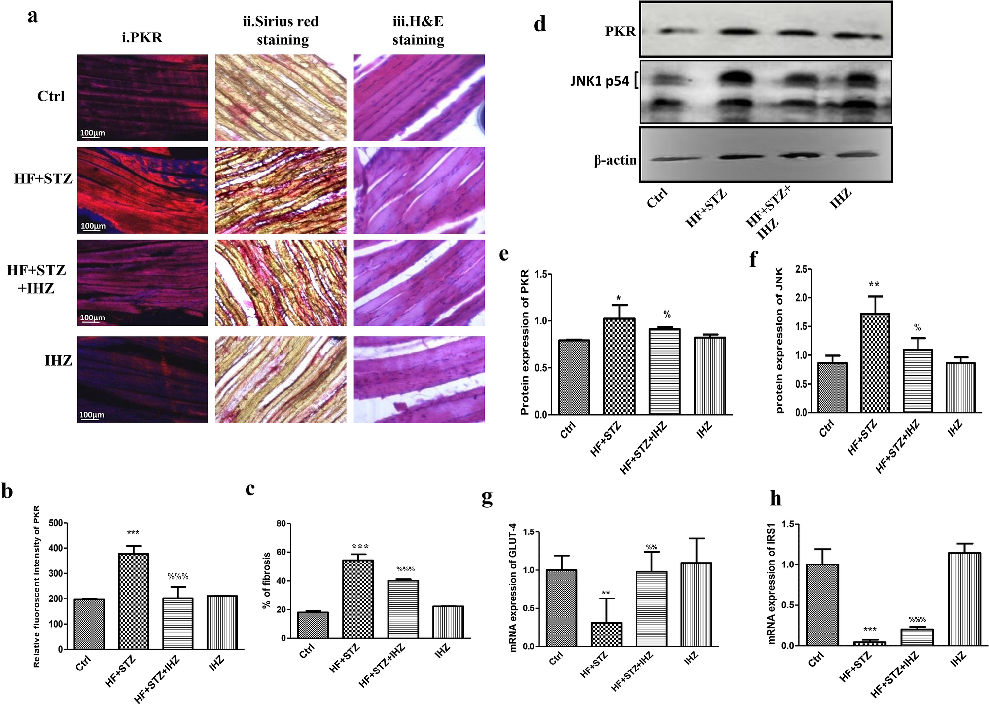
Figure 2

IHZ attenuates insulin resistance, inflammation & fibrosis via inhibition of JNK in skeletal muscle tissue of diabetic rats. (a.i,b) PKR expression levels in skeletal muscle as detected by immunohistochemistry. (a.ii,c) Picro-Sirius red staining was done to assess the extent of fibrosis and collagen deposition. (a.iii) H&E staining was done to observe changes in tissue morphology after treatment (d–f) Western blots showing the levels of PKR and JNK and their quantitative data. β-actin was used as loading control. (g) mRNA levels of GLUT-4 in skeletal muscle as assessed by qRT-PCR. (h) mRNA levels of IRS-1 in skeletal muscle as assessed by qRT-PCR. Data is presented as mean ± SD of n = 3 animals for each group. At the end of 6th week, rats were sacrificed and tissues were isolated. *P < 0.05, **P < 0.01, ***P < 0.001 vs control group; %P < 0.05, %%P < 0.01, %%%P < 0.001 vs HF + STZ group.