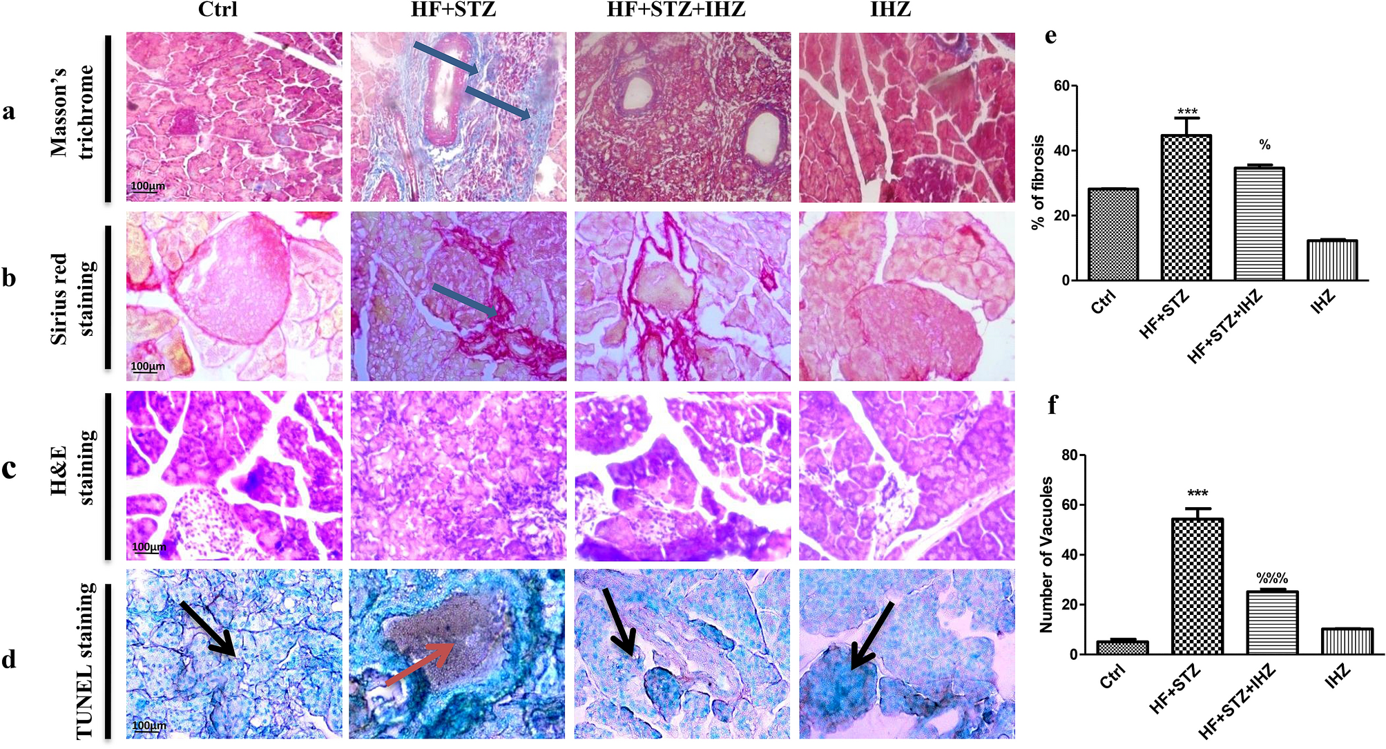
Figure 3

IHZ attenuates islet damage (apoptosis) and fibrosis in pancreatic tissue of diabetic rats. (a,b) Sections of pancreatic tissue stained with Masson’s trichrome and Picro-Sirius red staining, respectively to detect fibrosis (blue coloration, red coloration marked with arrows). (c) Sections of pancreatic tissue stained with H&E staining to detect cell morphology and number of vacuoles. (d) Representative images of TUNEL assay to assess apoptosis (apoptotic sites marked with arrows). (e,f) Quantitative data from figures (a/b,c). Data is presented as mean ± SD of n = 3 animals for each group. ***P < 0.001 vs control group, %P < 0.05, %%P < 0.01 vs HF + STZ group.