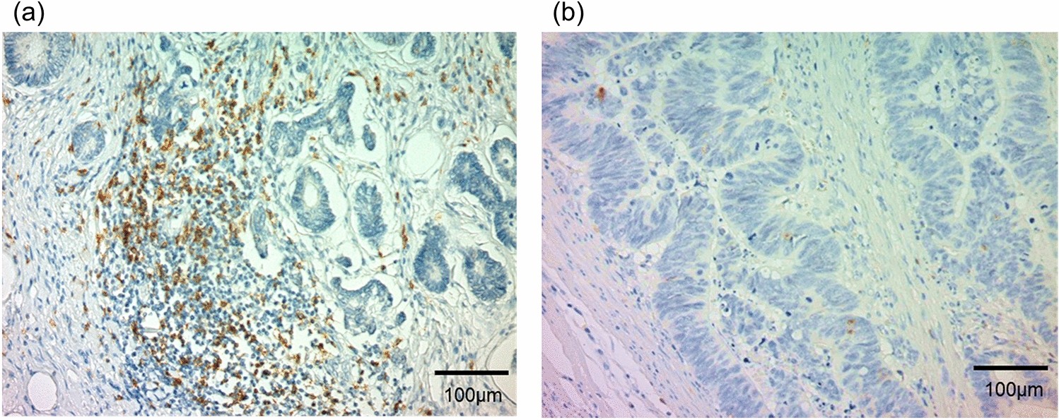
Figure 2

Immunohistochemistry for CD8 expression in colitic cancer and sporadic colorectal cancer. (a) High levels of tumoural CD8 cytotoxic T lymphocytes (CTLs) in a representative colitic cancer tissue. (b) Low levels of tumoural CD8 CTLs in a representative sporadic colorectal cancer (SCRC) tissue.