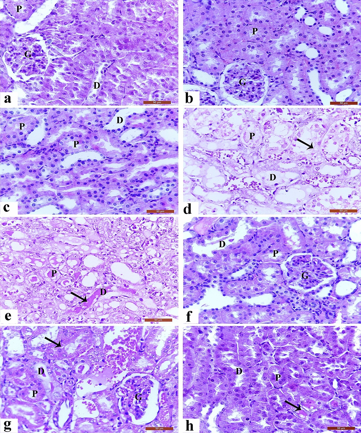
Figure 2

Histopathological changes in kidney sections. (a)–(c) Normal architecture of the renal cortex, renal corpuscle (arrow), glomerulus (G), proximal convoluted tubules (P), and distal convoluted tubules (D) in the control (a), LP (1b), and NAC (d) groups. (d) CP-induced severe degenerative changes 1in the renal tubule epithelial lining (f), congested inter-renal blood vessels (I), hydropic degeneration (thin arrow), and pycnotic nuclei of epithelial cells (thick arrow). (e) CP-induced loss of normal architecture in the renal tubules, with hyaline cast materials in the lumen of most tubules (thick arrows), degranulated cytoplasm in some epithelial cells (d), and desquamated cells (thin arrow). (f) Histological changes in the kidney in the LP + CP group. Moderate effects in the renal tubules and degenerated and sloughed epithelial cells (thick arrow). (g) Histological changes in the kidney in the NAC + CP group. Moderate effects include congested inter-renal blood vessels (C), hyaline cast materials in the lumen of some tubules (h), and necrosis in some epithelial cells (e). (h) Histological changes in the kidney in the LP + NAC + CP group. Mild effects include proteinaceous materials in the lumen of some tubules (thick arrows). Scale bar = 50 μm.