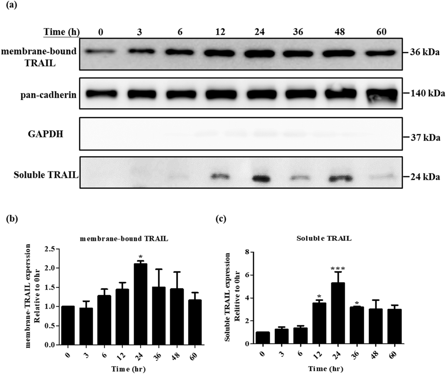
Figure 4

IL-1β induced the membrane-bound TRAIL protein and soluble TRAIL expression in hUCMSCs. (a) Time course of the membrane-bound TRAIL protein expression in hUCMSCs with 100 ng/ml IL-1β treatment analyzed by Western blot. (b) Quantitative graphs of membrane-bound TRAIL protein expression of (a). (c) Quantitative graphs of soluble TRAIL protein expression of (a). The gray analysis of Western blots of membrane-bound TRAIL was normalized with pan-cadherin. The full-length Western blots were shown in Supplementary Fig. S3. Data were shown as mean ± SEM and analyzed by one-way ANOVA with Dunnett's test. (n = 3, *P < 0.05, ***P < 0.001).