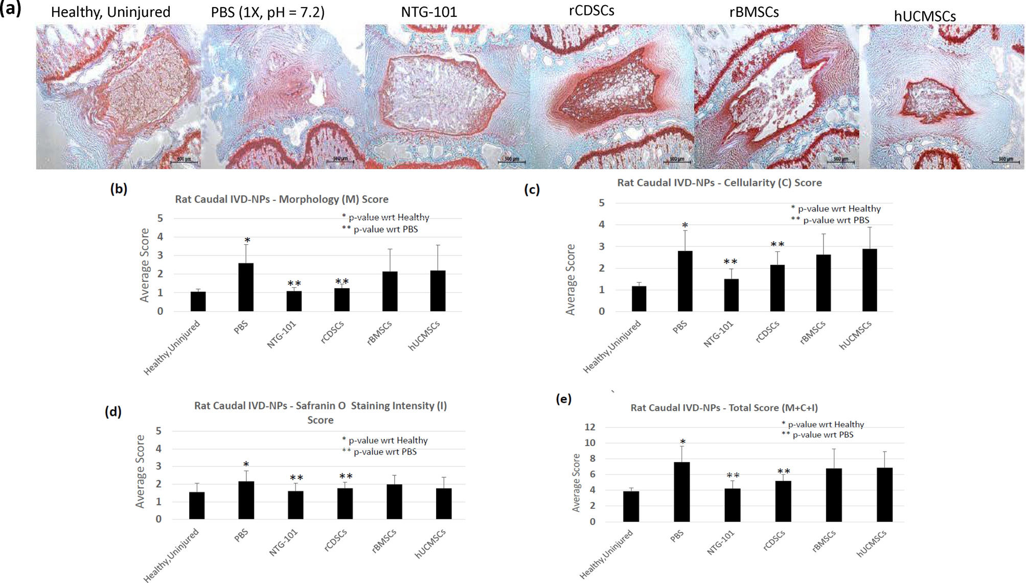
Figure 3

Histological analysis of rat caudal IVD-NPs. (a) Safranin O stained IVD-tissue sections derived from age-matched, uninjured IVDs and injured IVDs that received an intra-discal injection of PBS (1X, pH = 7.2), NTG-101, rCDSCs, rBMSCs or hUCMSCs. Histological images were acquired using bright field Nikon microscope (Nikon Eclipse TE2000-U, Scale bar: 500 µm). Panel shows the histograms representing average score of (b) Morphology (M), (c) Cellularity (C), (d) Safranin O staining intensity (I) and (e) average total score (M + C + I) for healthy, and injured IVDs injected with PBS (1×), NTG-101, rCDSCs, rBMSCs or hUCMSCs, 10 weeks post-injection (*,**p ≤ 0.05).