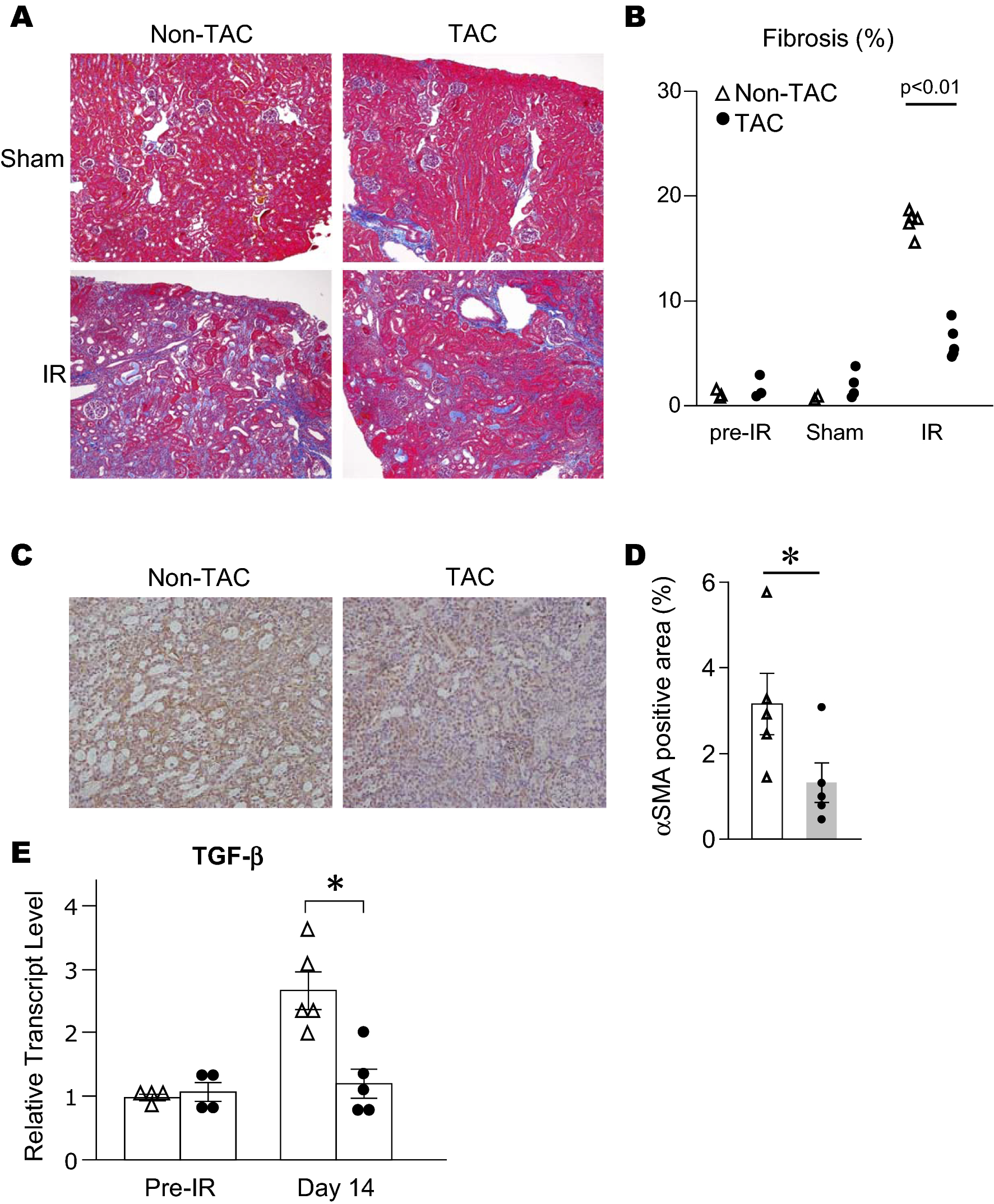
Figure 4

Renal interstitial fibrosis development after IR (Experiment 2). (A) Representative images of renal pathology with Masson Trichrome staining 14 days after IR. (B) Quantitative analysis of renal fibrotic areas (n = 4–5 per group). (C) Representative images of α-SMA staining 14 days after IR. (D) Quantitative analysis of α-SMA positive area (n = 4–5 per group). (E) mRNA levels of TGF-β is shown (n = 4–5 per group). *p < 0.05. Open triangle, non-TAC mice; filled circle, TAC mice. All graphs were created using JMP 14.0 software (SAS Institute Inc., Cary, NC).