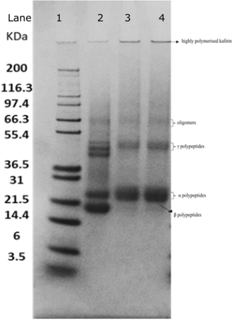
Figure 1

Sodium dodecyl sulphate—polyacrylamide gel electrophoretograms of proteins under non reducing conditions. Lane 1: protein molecular weight marker; Lane 2: zein internal control; Lane 3: sorghum grain kafirin; Lane 4: kafirin from sorghum dried distillers grain with solubles (DDGS). This is an image of a single full gel representative of the experiment.