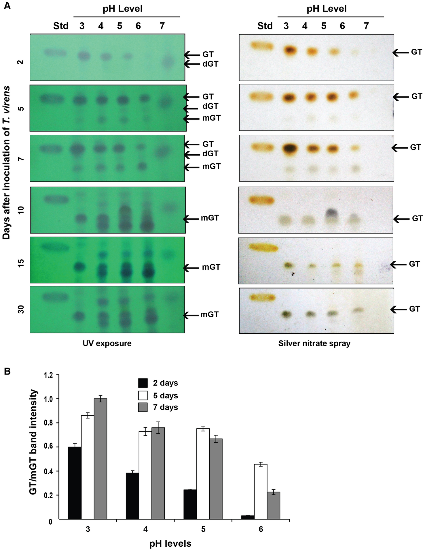
Figure 4

Stability of gliotoxin at different pH conditions. (A) T. virens culture was inoculated in Weindling medium buffered at different pH levels. The production and stability of gliotoxin were analysed at different time of incubation as described in Fig. 2A. GT gliotoxin, mGT Bis-thiomethyl gliotoxin; dGT-degraded gliotoxin, Std standard gliotoxin. (B) The levels of gliotoxin (GT) production by T. virens were measured by densitometry analysis. Gliotoxin band intensity values were normalized with respect to the highest intensity considered as 1.