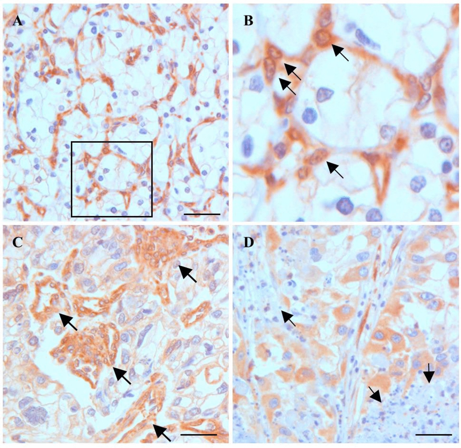
Figure 2

Expression of TXNIP in conventional RCC. (A) Strong TXNIP staining in endothelial cells but lack of expression in tumour cells. (B) Enlargement of the insert from A shows TXNIP translocation into endothel cell nuclei (arrows). (C) Irregular tortously growing TXNIP positive vessels in a grade 3 conventional RCC (arrows). (D) Small necrotic tumour areas are surrounded by tumour cells showing high expression of TXNIP protein (arrows). Scale bar: 40 μm.