Figure 5

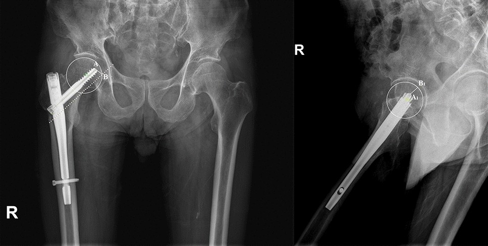
Assessment of the CalTAD in the anterior–posterior plane and the lateral plane. The Calcar Tip Apex Distance (CalTAD) is represented by the sum of AB and A1B1 distance.

Assessment of the CalTAD in the anterior–posterior plane and the lateral plane. The Calcar Tip Apex Distance (CalTAD) is represented by the sum of AB and A1B1 distance.