Figure 5
From: In situ delivery of biobutyrate by probiotic Escherichia coli for cancer therapy

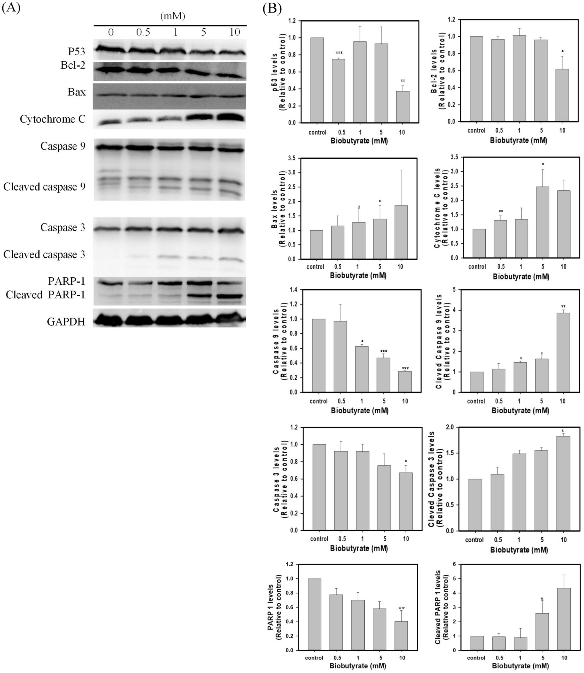
Effect of biobutyrate on the intrinsic apoptosis pathway. (A) The immunoblotting analysis of proteins associated with caspase-dependent apoptosis. Cancer cells were treated with various doses of biobutyrate for 48 h, and protein levels were determined by the immunoblotting analysis. The level of GADPH was used as the internal control. (B) Quantification of protein levels. Full-length blots are presented in Supplementary Fig. 5C. Data were taken from three independent experiments by the ImageJ Image Analysis software and analyzed using the GraphPad Prism 7 software (*p < 0.05, **p < 0.01 and ***p < 0.001 vs. vehicle control based on one-way ANOVA) and graphs were prepared using SigmaPlot 10.0 (Systat Software, San Jose, CA).