Figure 2
From: SSC-ILD mouse model induced by osmotic minipump delivered bleomycin: effect of Nintedanib

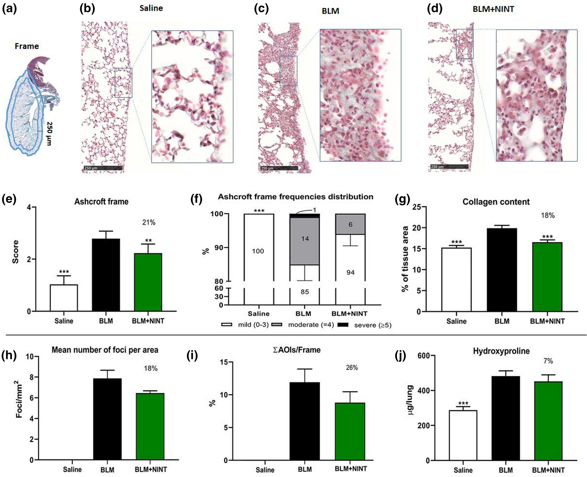
Histological and histomorphometric analysis of the subpleural parenchyma. Evaluation of the antifibrotic activity of nintedanib (on bleomycin induced lung fibrosis through osmotic minipumps) at day 28. (a) Schematic representation of the Frame 250-µm thick considered as a region of interest. (b-d) Representative microphotographs of the subpleural parenchyma of Saline (b), BLM (c) and BLM + NINT (d) treated groups at day 28 (MT staining; ×10 magnification. The area within the rectangles has been magnified at ×20). (e) Ashcroft score determination on the frame. (f) Frequency distribution (%) of the Ashcroft scores values grouped as mild (0–3), moderate (4) and severe (≥ 5). (g) Collagen content determination expressed as a percentage of the tissue area. h: Mean number of fibrotic foci per mm2 of Frame. (j) Global AOI area (AOIs) normalized on the Frame surface (AOIs/Frame) and expressed as percentage. i: Anti-fibrotic effect of NINT on hydroxyproline concentration in the right lung. Data are shown as mean ± S.E.M. for 8 mice per group. In d, f, g, h and i, Saline and BLM + NINT were compared to the BLM group using one-way ANOVA followed by Dunnett’s test (**P < 0.01; ***P < 0.001). In e statistical comparisons with the BLM group were performed using Chi-squared test (**P < 0.01; ***P < 0.001). The percentages on the BLM + NINT bars represent the inhibition effect of the treatment compared to BLM.