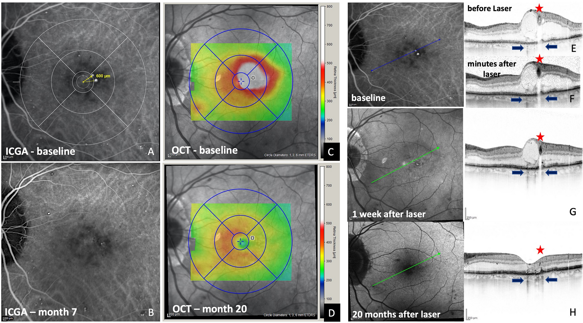
Figure 3

Multimodal imaging of a patient with treatment-naive center-involving diabetic macular edema. At baseline, indocyanine green angiography (ICGA) shows two teleangiectatic capillaries (TCs) at a distance of 600 µm from the foveal center, located right next to the peak of the edema (A and C). One representative OCT single scan that was created based on the patient’s ICGA images leads right through the center of the more superiorly located lesion (E; blue line). A darkening of the TCs lumen is seen in the OCT B-scan as immediate reaction to laser therapy (compare E and F; red asterisks). The OCT scan acquired at baseline shows a small area of retinal pigment epithelium atrophy due to intermediate age-related macular degeneration before laser therapy right next and also underneath the TC (E; blue arrows). No additional retinal damage is seen in OCT one week after successful laser treatment (F). The TCs are no longer visible in ICGA, performed 7 months after laser therapy (B). Following closure of the TC, OCT reveals a small area of atrophy directly underneath this area. (G; right blue arrow). However, due to blockage of the OCT signal by the TC at baseline, it remains unclear if this area of atrophy was present before, or was induced by laser therapy. Best-corrected visual acuity (BCVA) increased from 20/32 Snellen VA at baseline to 20/25 9 months after laser therapy, while central subfield thickness (CST) decreased from 567 µm at baseline to 273 µm at month 9. BCVA and CRT remained stable at 20/25 Snellen and 282 µm, respectively 20 months after laser therapy without additional interventions (D).