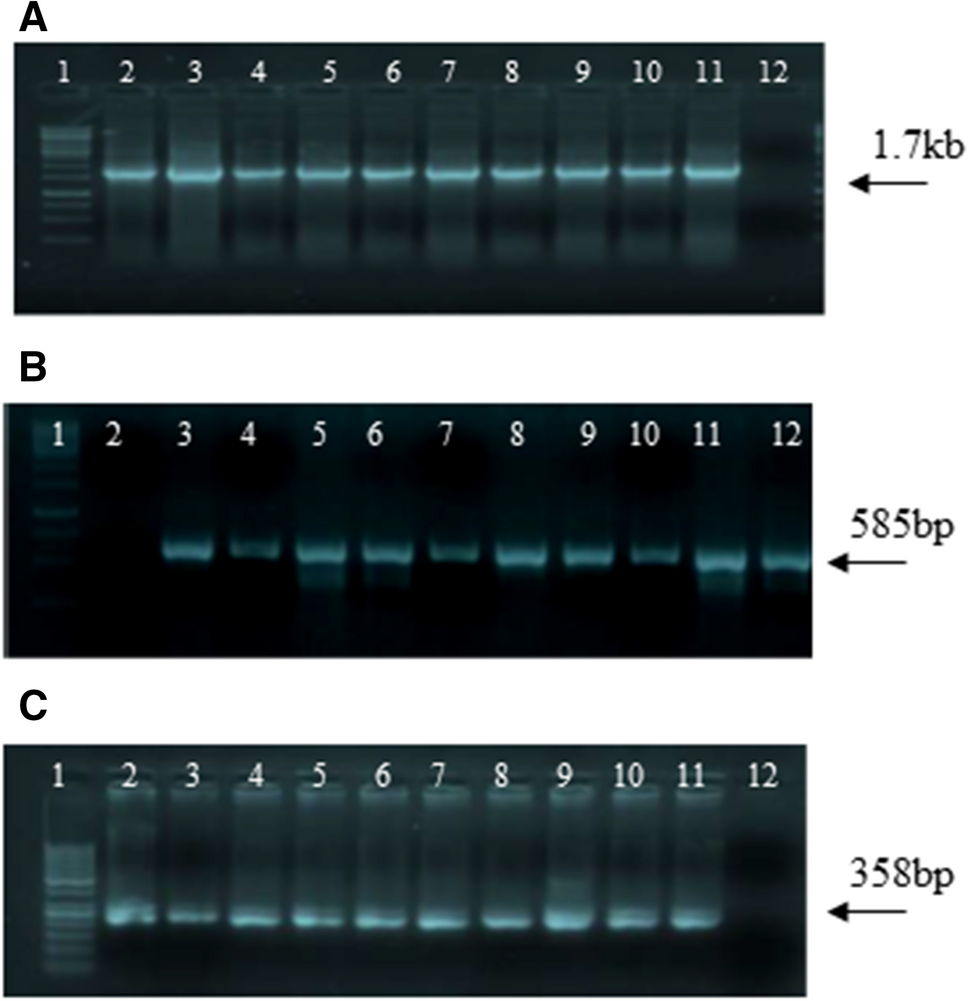
Figure 1

PCR confirmation of transgenic plants of T0: (A) Transgenic plants harboring Cry1Ac; Lane 1: 1-kb Ladder, Lane 2: Positive Control, Lane 3–11: Transgenic cotton plants, Lane 12: Negative control; (B) Transgenic plants harboring Cry2A; Lane 1: 1 kb ladder, Lane 2: Negative control, Lane 3–11: Transgenic cotton plants, Lane 12: 1-kb Ladder; (C) Transgenic plants harboring cp4EPSPS; Lane 1: 50 bp Ladder, Lane 2–10: Transgenic plants, Lane 11: Positive control, Lane 12: Negative control.