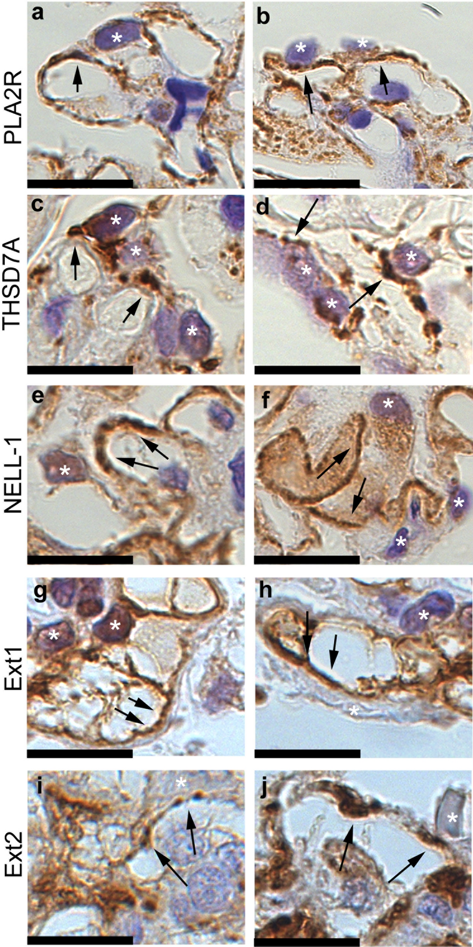
Figure 4

Immunohistochemical analysis for case of Phospholipase A2 receptor (PLA2R)-, Thrombospondin type-1 domain-containing 7A (THSD7A)-, Neural epidermal growth factor-like 1 protein (NELL-1)-, Exostosin (Ext) 1- and Ext2-associated membranous nephropathy with high magnification. Photographs of immunostaining of PLA2R (a,b), THSD7A (c,d), NELL-1 (e,f), Ext1(g,h) and Ext2 (i,j) with high magnification. The localization of enhanced antigens was shown with arrows. Asterisks; podocytes. Scar bar 12.5 μm.