Figure 5
From: Absence of DEATH kinesin is fatal for Leishmania mexicana amastigotes

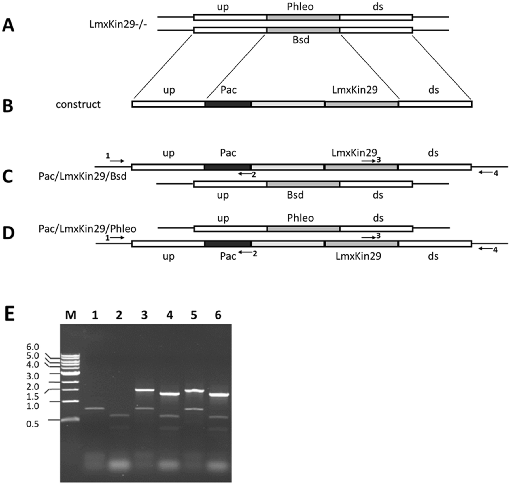
LmxKIN29 genomic add-back. (A) genomic situation in ΔLmxKIN29-/- null mutant. (B) LmxKIN29 add-back construct; (C) add-back replacing PHLEO; (D) add-back replacing BSD; (E) PCR to prove correct replacement. Lanes 1 and 2, null mutant A3; lanes 3 and 4, LmxKIN29 add-back A3E2; lanes 5 and 6, LmxKIN29 add-back D11H2; lanes 1, 3, and 5, primer pair to amplify a 1481 bp DNA fragment showing correct integration of 3’-end of PACLmxKIN29 construct; lanes 2, 4, and 6 primer pair to amplify 1308 bp fragment indicating correct integration of 5’-end of PACLmxKIN29; all lanes including lanes for the null mutants show amplification of either one or two additional unspecific bands between 400–800 bp, which serve as internal controls. M, DNA marker in kb.