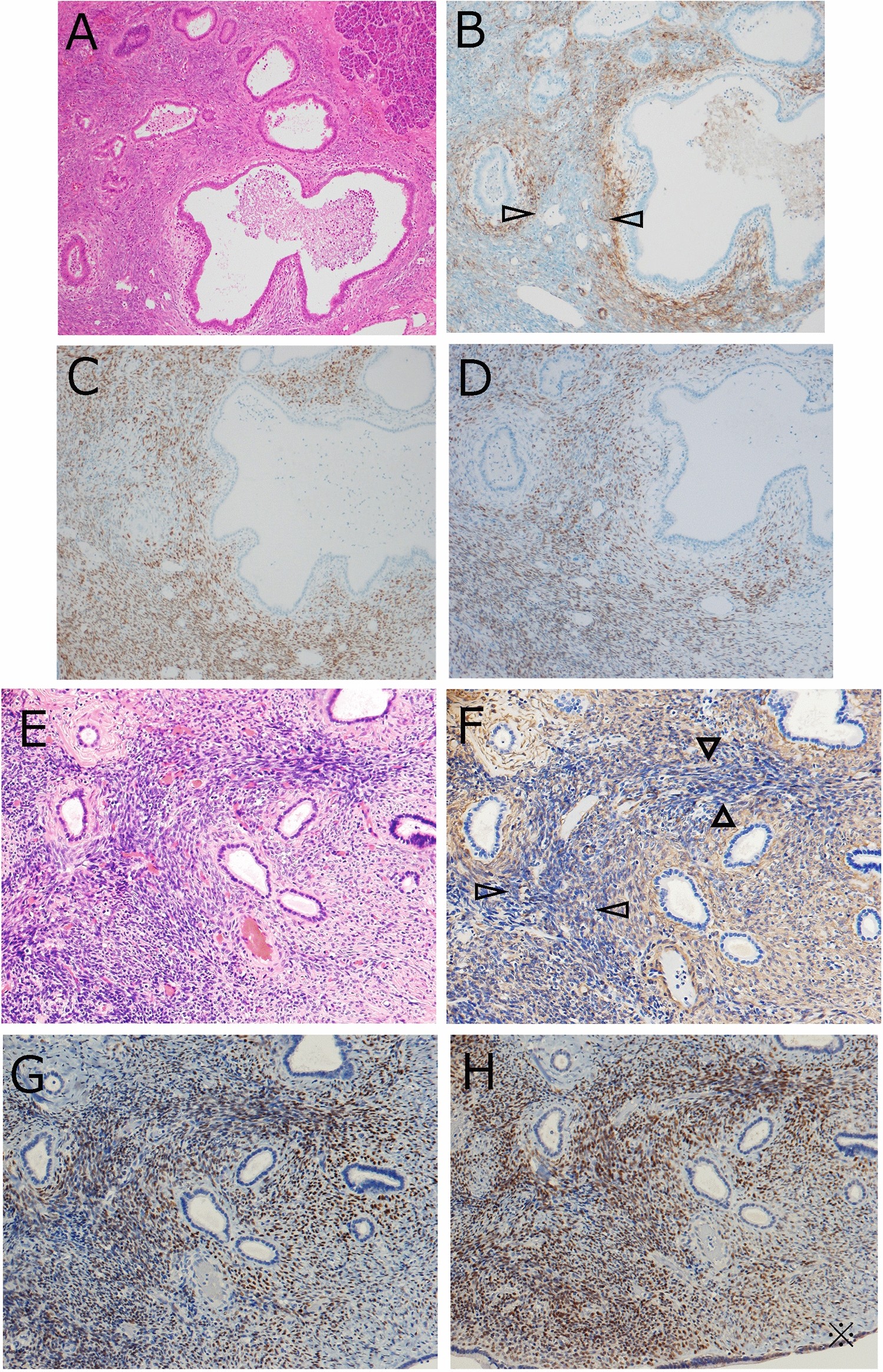
Figure 2

Occasional α smooth muscle actin (SMA)-negative status of ovarian-like stroma (OLS). (A–D) Mucinous cystic neoplasm (MCN) case 1. (A) OLS in the intralobular portion. (B) The OLS at the periductal part is α-SMA-positive and that with no association to dilated ducts is α-SMA -negative. C and D. The OLS is positive for ER (C) and PgR (D), irrespective of the distance from the ducts. 2E-H. MCN case 10. (E) OLS at the septum of the MCN cyst. (F) The OLS at the periductal part is α-SMA-positive and that with no association to dilated ducts is α-SMA -negative. (G, H) OLS is positive for ER (G) and PgR (H), irrespective of the distance from the ducts. Blank arrowheads in B and F show areas of α-SMA-negative OLS. (B, F) Immunohistochemistry for α-SMA, (C, G) Immunohistochemistry for ER, and (D, H) Immunohistochemistry for PgR.